The PNPO Antibody (CAB18495) is a high-quality antibody developed for reliable detection and analysis of target proteins. This antibody, developed in rabbits, offers high reactivity with human samples and is validated for use in Western blotting applications. By specifically binding to the PNPO protein, this antibody enables accurate detection and analysis in various cell types, making it an invaluable asset for studies in biochemistry and metabolism research.PNPO plays a crucial role in the conversion of pyridoxine to pyridoxal 5'-phosphate, the biologically active form of vitamin B6. Dysregulation of PNPO activity has been linked to various neurological disorders, making it a promising target for therapeutic interventions.
This antibody is validated for use in WB, IF/ICC, ELISA applications and has demonstrated reactivity against Human, Mouse, Rat samples.
Product Name:
PNPO Antibody
SKU:
CAB18495
Size:
20μL, 100μL
Reactivity:
Human, Mouse, Rat
Immunogen:
Recombinant protein (or fragment).This information is considered to be commercially sensitive.
Recommended starting concentration is 1 μg/mL. Please optimize the concentration based on your specific assay requirements.
Synonyms:
PDXPO, HEL-S-302, PNPO
Positive Sample:
HepG2, 293T, Mouse brain, Mouse kidney, Mouse liver, Rat brain, Rat kidney, Rat liver
Cellular Localization:
Cytosol.
Calculated MW:
30kDa
Observed MW:
30kDa
The enzyme encoded by this gene catalyzes the terminal, rate-limiting step in the synthesis of pyridoxal 5'-phosphate, also known as vitamin B6. Vitamin B6 is a required co-factor for enzymes involved in both homocysteine metabolism and synthesis of neurotransmitters such as catecholamine. Mutations in this gene result in pyridoxamine 5'-phosphate oxidase (PNPO) deficiency, a form of neonatal epileptic encephalopathy.
Purification Method
Affinity purification
Gene ID
55163
RRID
AB_2862261
Buffer Information
Store at -20℃. Avoid freeze / thaw cycles. Buffer: PBS with 0.01% thimerosal,50% glycerol,pH7.3.
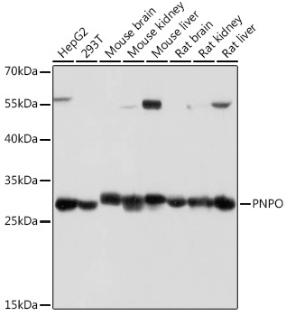
Western blot analysis of various lysates using PNPO Rabbit pAb (CAB18495) at 1:1000 dilution. Secondary antibody: HRP-conjugated Goat anti-Rabbit IgG (H+L) (CABS014) at 1:10000 dilution. Lysates/proteins: 25μg per lane. Blocking buffer: 3% nonfat dry milk in TBST. Detection: ECL Basic Kit (AbGn00020). Exposure time: 1s.
Immunofluorescence analysis of L929 cells using PNPO Rabbit pAb (CAB18495) at dilution of 1:100. Blue: DAPI for nuclear staining.