The POLD3 Antibody (CAB7243) is a high-quality antibody developed for reliable detection and analysis of target proteins. This antibody, generated in rabbits, exhibits high specificity and sensitivity towards human samples, making it an ideal choice for various research applications, including Western blot analysis. By binding to the POLD3 protein, this antibody enables precise detection and analysis in different cell types, providing valuable insights for studies in molecular biology and cancer research.POLD3 is a crucial component of the DNA polymerase delta complex, essential for accurate and efficient DNA replication.
This antibody is validated for use in WB, IHC-P, IF/ICC, ELISA applications and has demonstrated reactivity against Human, Mouse samples.
Product Name:
POLD3 Antibody
SKU:
CAB7243
Size:
20μL, 100μL
Reactivity:
Human, Mouse
Conjugate:
Unconjugated
Immunogen:
Recombinant protein (or fragment).This information is considered to be commercially sensitive.
Recommended starting concentration is 1 μg/mL. Please optimize the concentration based on your specific assay requirements.
Synonyms:
P66, P68, PPP1R128, POLD3
Positive Sample:
THP-1, HepG2, HeLa, MCF7, H460, Mouse brain
Cellular Localization:
Nucleus.
Calculated MW:
51kDa
Observed MW:
51kDa
This gene encodes the 66-kDa subunit of DNA polymerase delta. DNA polymerase delta possesses both polymerase and 3' to 5' exonuclease activity and plays a critical role in DNA replication and repair. The encoded protein plays a role in regulating the activity of DNA polymerase delta through interactions with other subunits and the processivity cofactor proliferating cell nuclear antigen (PCNA). Alternatively spliced transcript variants have been observed for this gene.
Purification Method
Affinity purification
Gene ID
10714
RRID
AB_2767791
Buffer Information
Store at -20℃. Avoid freeze / thaw cycles. Buffer: PBS containing 50% glycerol, preserved with proclin300 or sodium azide, pH 7.3.
Western blot analysis of various lysates using POLD3 Rabbit pAb (CAB7243) at 1:1000 dilution. Secondary antibody: HRP-conjugated Goat anti-Rabbit IgG (H+L) (CABS014) at 1:10000 dilution. Lysates/proteins: 25μg per lane. Blocking buffer: 3% nonfat dry milk in TBST. Detection: ECL Enhanced Kit (AbGn00021). Exposure time: 60s.
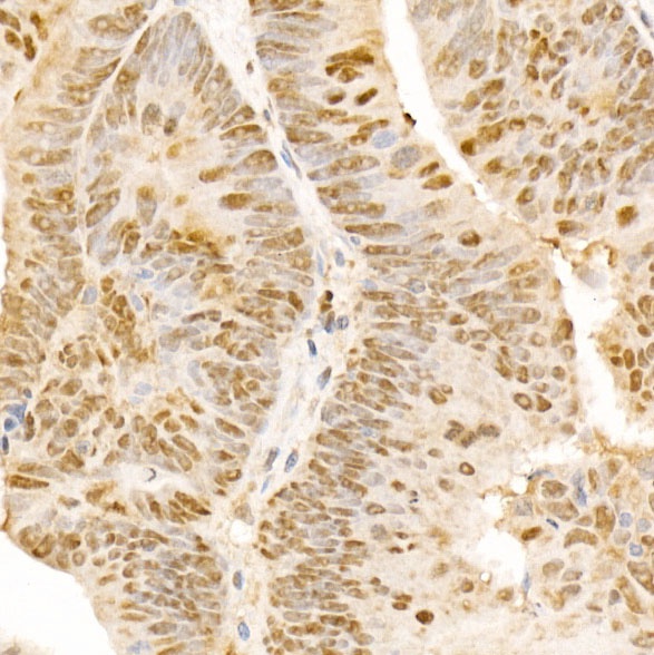
Immunohistochemistry analysis of paraffin-embedded Human colon carcinoma using POLD3 Rabbit pAb (CAB7243) at dilution of 1:300 (40x lens). Microwave antigen retrieval performed with 0.01M PBS Buffer (pH 7.2) prior to IHC staining.
Immunofluorescence analysis of U2OS cells using POLD3 Rabbit pAb (CAB7243).Secondary antibody: Cy3-conjugated Goat anti-Rabbit IgG (H+L) (CABS007) at 1:500 dilution.