The POLR2L Antibody (CAB2491) is a high-quality antibody developed for reliable detection and analysis of target proteins. This antibody, generated in rabbits, exhibits high specificity and reactivity with human samples, making it suitable for Western blot applications. By targeting the POLR2L protein, this antibody enables the detection and analysis of POLR2L expression in a variety of cell types, facilitating investigations in molecular biology and gene expression studies.POLR2L is a subunit of RNA polymerase II, the enzyme responsible for transcribing messenger RNA in eukaryotic cells. As a key player in the transcription process, POLR2L is involved in the regulation of gene expression and plays a crucial role in cellular function.
This antibody is validated for use in WB, IHC-P, ELISA applications and has demonstrated reactivity against Human, Mouse, Rat samples.
Product Name:
POLR2L Antibody
SKU:
CAB2491
Size:
20μL, 100μL
Reactivity:
Human, Mouse, Rat
Conjugate:
Unconjugated
Immunogen:
Recombinant protein (or fragment).This information is considered to be commercially sensitive.
This gene encodes a subunit of RNA polymerase II, the polymerase responsible for synthesizing messenger RNA in eukaryotes. The product of this gene contains four conserved cysteines characteristic of an atypical zinc-binding domain. Like its counterpart in yeast, this subunit may be shared by the other two DNA-directed RNA polymerases.
Purification Method
Affinity purification
Gene ID
5441
RRID
AB_2764382
Buffer Information
Store at -20℃. Avoid freeze / thaw cycles. Buffer: PBS containing 50% glycerol, preserved with proclin300 or sodium azide, pH 7.3.
Western blot analysis of various lysates, using POLR2L Rabbit pAb (CAB2491) at 1:1000 dilution. Secondary antibody: HRP-conjugated Goat anti-Rabbit IgG (H+L) (CABS014) at 1:10000 dilution. Lysates/proteins: 25μg per lane. Blocking buffer: 3% nonfat dry milk in TBST. Detection: ECL Basic Kit (AbGn00020). Exposure time: 90s.
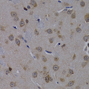
Immunohistochemistry analysis of paraffin-embedded Rat brain using POLR2L Rabbit pAb (CAB2491) at dilution of 1:200 (40x lens). Microwave antigen retrieval performed with 0.01M PBS Buffer (pH 7.2) prior to IHC staining.