The POU6F1 Antibody (CAB7299) is a high-quality antibody developed for reliable detection and analysis of target proteins. This antibody, generated in rabbits, shows high reactivity with human samples and is suitable for use in Western blot applications. By specifically binding to the POU6F1 protein, this antibody allows for the detection and analysis of POU6F1 in various cell types, making it ideal for research in developmental biology and neurobiology.
This antibody is validated for use in WB, IF/ICC, ELISA applications and has demonstrated reactivity against Human, Mouse, Rat samples.
Product Name:
POU6F1 Antibody
SKU:
CAB7299
Size:
20μL, 100μL
Reactivity:
Human, Mouse, Rat
Conjugate:
Unconjugated
Immunogen:
Recombinant protein (or fragment).This information is considered to be commercially sensitive.
Recommended starting concentration is 1 μg/mL. Please optimize the concentration based on your specific assay requirements.
Synonyms:
BRN5, MPOU, TCFB1, POU6F1
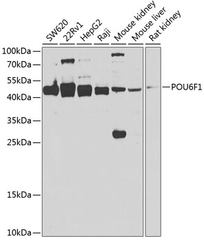
Positive Sample:
SW620, 22Rv1, HepG2, Raji, Mouse kidney, Mouse liver, Rat kidney
Cellular Localization:
Nucleus.
Calculated MW:
33kDa
Observed MW:
45kDa
Enables DNA-binding transcription repressor activity, RNA polymerase II-specific and sequence-specific double-stranded DNA binding activity. Involved in negative regulation of transcription by RNA polymerase II. Located in actin cytoskeleton and nuclear body.
Purification Method
Affinity purification
Gene ID
5463
RRID
AB_2767840
Buffer Information
Store at -20℃. Avoid freeze / thaw cycles. Buffer: PBS containing 50% glycerol, preserved with proclin300 or sodium azide, pH 7.3.
Western blot analysis of various lysates using POU6F1 Rabbit pAb (CAB7299) at 1:1000 dilution._Secondary antibody: HRP-conjugated Goat anti-Rabbit IgG (H+L) (CABS014) at 1:10000 dilution._Lysates/proteins: 25μg per lane._Blocking buffer: 3% nonfat dry milk in TBST._Detection: ECL Enhanced Kit (AbGn00021)._Exposure time: 90s.
Immunofluorescence analysis of A-549 cells using POU6F1 Rabbit pAb (CAB7299).Secondary antibody: Cy3-conjugated Goat anti-Rabbit IgG (H+L) (CABS007) at 1:500 dilution.