The POU6F1 Antibody (CAB7299) is a high-quality antibody developed for reliable detection and analysis of target proteins. Enables DNA-binding transcription repressor activity, RNA polymerase II-specific and sequence-specific double-stranded DNA binding activity. Involved in negative regulation of transcription by RNA polymerase II. Located in actin cytoskeleton and nuclear body. RRID AB_2767840 Gene ID 5463 Swiss Prot Synonym BRN5; MPOU; TCFB1; POU6F1
This antibody is validated for use in WB, IF/ICC, ELISA applications and has demonstrated reactivity against Human, Mouse, Rat samples.
Product Name:
POU6F1 Antibody
SKU:
CAB7299
Size:
100μL, 20μL
Reactivity:
Human, Mouse, Rat
Clone Number:
-
Conjugate:
Unconjugated
Immunogen:
Recombinant protein (or fragment).This information is considered to be commercially sensitive.
Tested Applications:
WBIF/ICCELISA
Recommended Dilution:
WB
1:500 - 1:2000
IF
/
ICC
1:50 - 1:100
ELISA
Recommended starting concentration is 1 μg/mL. Please optimize the concentration based on your specific assay requirements.
Synonyms:
BRN5, MPOU, TCFB1, POU6F1
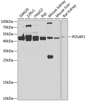
Positive Sample:
SW620, 22Rv1, HepG2, Raji, Mouse kidney, Mouse liver, Rat kidney
Cellular Localization:
Nucleus.
Calculated MW:
33kDa
Observed MW:
45kDa
Enables DNA-binding transcription repressor activity, RNA polymerase II-specific and sequence-specific double-stranded DNA binding activity. Involved in negative regulation of transcription by RNA polymerase II. Located in actin cytoskeleton and nuclear body. RRID AB_2767840 Gene ID 5463 Swiss Prot Synonym BRN5; MPOU; TCFB1; POU6F1
Purification Method:
Affinity purification
Gene ID:
5463
RRID:
AB_2767840
Buffer Information:
Store at -20℃. Avoid freeze / thaw cycles. Buffer: PBS containing 50% glycerol, preserved with proclin300 or sodium azide, pH 7.3.
Western blot analysis of various lysates using POU6F1 Rabbit pAb (CAB7299) at 1:1000 dilution._Secondary antibody: HRP-conjugated Goat anti-Rabbit IgG (H+L) (AS014) at 1:10000 dilution._Lysates/proteins: 25μg per lane._Blocking buffer: 3% nonfat dry milk in TBST._Detection: ECL Enhanced Kit (AbGn00021)._Exposure time: 90s.
Immunofluorescence analysis of A-549 cells using POU6F1 Rabbit pAb (CAB7299).Secondary antibody: Cy3-conjugated Goat anti-Rabbit IgG (H+L) (AS007) at 1:500 dilution.