The PPIL1 Antibody (CAB14892) is a high-quality antibody developed for reliable detection and analysis of target proteins. This antibody, produced in rabbits, is highly specific to human samples and has been validated for use in Western blot applications. By binding to PPIL1, this antibody allows for the detection and analysis of the protein in various cell types, making it ideal for studies in molecular biology and cancer research.PPIL1 is a peptidyl-prolyl cis-trans isomerase that plays a crucial role in protein folding and trafficking. It is involved in a variety of cellular processes, including cell proliferation, transcription, and apoptosis.
This antibody is validated for use in WB, ELISA applications and has demonstrated reactivity against Human, Mouse, Rat samples.
Product Name:
PPIL1 Antibody
SKU:
CAB14892
Size:
20μL, 100μL
Reactivity:
Human, Mouse, Rat
Conjugate:
Unconjugated
Immunogen:
Recombinant protein (or fragment).This information is considered to be commercially sensitive.
Recommended starting concentration is 1 μg/mL. Please optimize the concentration based on your specific assay requirements.
Synonyms:
CYPL1, PCH14, hCyPX, PPIase, CGI-124, PPIL1
Positive Sample:
SH-SY5Y, HeLa, Raji, Mouse brain, Mouse heart, Mouse kidney, Mouse liver, Rat lung, Rat spleen
Cellular Localization:
Nucleoplasm, Nucleus.
Calculated MW:
18kDa
Observed MW:
18kDa
This gene is a member of the cyclophilin family of peptidylprolyl isomerases (PPIases). The cyclophilins are a highly conserved, ubiquitous family, members of which play an important role in protein folding, immunosuppression by cyclosporin A, and infection of HIV-1 virions. Based on similarity to other PPIases, this protein could accelerate the folding of proteins and might catalyze the cis-trans isomerization of proline imidic peptide bonds in oligopeptides.
Purification Method
Affinity purification
Gene ID
51645
RRID
AB_2761773
Buffer Information
Store at -20℃. Avoid freeze / thaw cycles. Buffer: PBS with 0.01% thimerosal,50% glycerol,pH7.3.
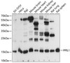
Western blot analysis of various lysates using PPIL1 Rabbit pAb (CAB14892) at 1:1000 dilution. Secondary antibody: HRP-conjugated Goat anti-Rabbit IgG (H+L) (CABS014) at 1:10000 dilution. Lysates/proteins: 25μg per lane. Blocking buffer: 3% nonfat dry milk in TBST. Detection: ECL Basic Kit (AbGn00020). Exposure time: 30s.