The PPOX Antibody (CAB6397) is a high-quality antibody developed for reliable detection and analysis of target proteins. This antibody, generated in rabbits, is highly specific for human PPOX and has been validated for use in Western blot applications. By binding to PPOX, this antibody allows for the detection and analysis of this important enzyme in a variety of cell types.PPOX is a key enzyme in the heme biosynthesis pathway and plays a critical role in the production of heme, an essential component of hemoglobin and other hemoproteins. Dysregulation of PPOX has been linked to various disorders, including porphyrias, a group of rare metabolic disorders characterized by the buildup of heme precursors.
This antibody is validated for use in WB, IHC-P, ELISA applications and has demonstrated reactivity against Human, Mouse samples.
Product Name:
PPOX Antibody
SKU:
CAB6397
Size:
20μL, 100μL
Reactivity:
Human, Mouse
Conjugate:
Unconjugated
Immunogen:
Recombinant protein (or fragment).This information is considered to be commercially sensitive.
This gene encodes the penultimate enzyme of heme biosynthesis, which catalyzes the 6-electron oxidation of protoporphyrinogen IX to form protoporphyrin IX. Mutations in this gene cause variegate porphyria, an autosomal dominant disorder of heme metabolism resulting from a deficiency in protoporphyrinogen oxidase, an enzyme located on the inner mitochondrial membrane. Alternatively spliced transcript variants encoding the same protein have been identified.
Purification Method
Affinity purification
Gene ID
5498
RRID
AB_2766999
Buffer Information
Store at -20℃. Avoid freeze / thaw cycles. Buffer: PBS containing 50% glycerol, preserved with proclin300 or sodium azide, pH 7.3.
Western blot analysis of various lysates using PPOX Rabbit pAb (CAB6397) at 1:1000 dilution. Secondary antibody: HRP-conjugated Goat anti-Rabbit IgG (H+L) (CABS014) at 1:10000 dilution. Lysates/proteins: 25μg per lane. Blocking buffer: 3% nonfat dry milk in TBST. Detection: ECL Enhanced Kit (AbGn00021). Exposure time: 90s.
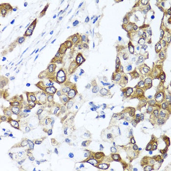
Immunohistochemistry analysis of paraffin-embedded Human colon carcinoma using PPOX Rabbit pAb (CAB6397) at dilution of 1:100 (40x lens). Microwave antigen retrieval performed with 0.01M PBS Buffer (pH 7.2) prior to IHC staining.