The PPP4C Antibody (CAB2109) is a high-quality antibody developed for reliable detection and analysis of target proteins. Enables protein serine/threonine phosphatase activity. Involved in regulation of double-strand break repair via homologous recombination. Located in cytosol; nucleoplasm; and plasma membrane.
This antibody is validated for use in WB, IHC-P, IP, ELISA applications and has demonstrated reactivity against Human, Mouse, Rat samples.
Product Name:
PPP4C Antibody
SKU:
CAB2109
Size:
100μL, 20μL
Reactivity:
Human, Mouse, Rat
Conjugate:
Unconjugated
Immunogen:
Recombinant protein (or fragment).This information is considered to be commercially sensitive.
Tested Applications:
WBIHC-PIPELISA
Recommended Dilution:
WB
1:500 - 1:2000
IHC-P
1:50 - 1:200
IP
0.5μg-4μg antibody for 200μg-400μg extracts of whole cells
ELISA
Recommended starting concentration is 1 μg/mL. Please optimize the concentration based on your specific assay requirements.
Enables protein serine/threonine phosphatase activity. Involved in regulation of double-strand break repair via homologous recombination. Located in cytosol; nucleoplasm; and plasma membrane.
Purification Method
Affinity purification
Gene ID
5531
RRID
AB_2764128
Buffer Information
Store at -20℃. Avoid freeze / thaw cycles. Buffer: PBS containing 50% glycerol, preserved with proclin300 or sodium azide, pH 7.3.
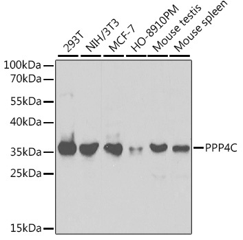
Western blot analysis of various lysates using PPP4C Rabbit pAb (CAB2109) at 1:1000 dilution. Secondary antibody: HRP-conjugated Goat anti-Rabbit IgG (H+L) (AS014) at 1:10000 dilution. Lysates/proteins: 25μg per lane. Blocking buffer: 3% nonfat dry milk in TBST.
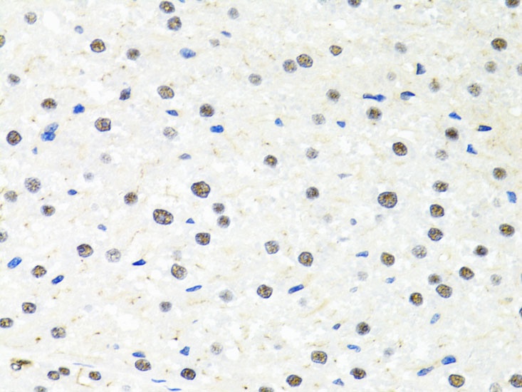
Immunohistochemistry analysis of paraffin-embedded Rat liver using PPP4C Rabbit pAb (CAB2109) at dilution of 1:100 (40x lens). Microwave antigen retrieval performed with 0.01M PBS Buffer (pH 7.2) prior to IHC staining.
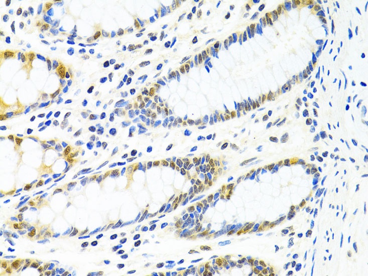
Immunohistochemistry analysis of paraffin-embedded Human colon using PPP4C Rabbit pAb (CAB2109) at dilution of 1:100 (40x lens). Microwave antigen retrieval performed with 0.01M PBS Buffer (pH 7.2) prior to IHC staining.
Immunoprecipitation analysis of 200 μg extracts of 293T cells using 1 μg PPP4C antibody (CAB2109). Western blot was performed from the immunoprecipitate using PPP4C antibody (CAB2109) at a dilution of 1:1000.