The Profilin1 Antibody (CAB1164) is a high-quality antibody developed for reliable detection and analysis of target proteins. This antibody, raised in rabbits, is highly specific and reacts strongly with human samples, making it ideal for use in Western blot applications. By binding to Profilin-1, this antibody enables accurate detection and analysis of the protein in various cell types, facilitating investigations into cell motility, cell shape, and cell division.Profilin-1 plays a crucial role in regulating actin dynamics, which are essential for processes such as cell migration, cell adhesion, and intracellular transport.
This antibody is validated for use in WB, ELISA applications and has demonstrated reactivity against Human, Mouse, Rat, Monkey samples.
Product Name:
Profilin1 Antibody
SKU:
CAB1164
Size:
20μL, 100μL
Reactivity:
Human, Mouse, Rat, Monkey
Conjugate:
Unconjugated
Immunogen:
Recombinant protein (or fragment).This information is considered to be commercially sensitive.
This gene encodes a member of the profilin family of small actin-binding proteins. The encoded protein plays an important role in actin dynamics by regulating actin polymerization in response to extracellular signals. Deletion of this gene is associated with Miller-Dieker syndrome, and the encoded protein may also play a role in Huntington disease. Multiple pseudogenes of this gene are located on chromosome 1.
Purification Method
Affinity purification
Gene ID
5216
RRID
AB_2758657
Buffer Information
Store at -20℃. Avoid freeze / thaw cycles. Buffer: PBS containing 50% glycerol, preserved with proclin300 or sodium azide, pH 7.3.
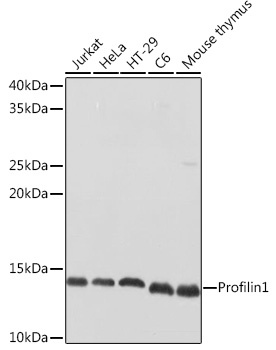
Western blot analysis of various lysates using Profilin1 Rabbit pAb (CAB1164) at 1:500 dilution. Secondary antibody: HRP-conjugated Goat anti-Rabbit IgG (H+L) (CABS014) at 1:10000 dilution. Lysates/proteins: 25μg per lane. Blocking buffer: 3% nonfat dry milk in TBST. Detection: ECL Basic Kit (AbGn00020). Exposure time: 1s.
Western blot analysis of various lysates using Profilin1 Rabbit pAb (CAB1164) at 1:500 dilution. Secondary antibody: HRP-conjugated Goat anti-Rabbit IgG (H+L) (CABS014) at 1:10000 dilution. Lysates/proteins: 25μg per lane. Blocking buffer: 3% nonfat dry milk in TBST. Detection: ECL Basic Kit (AbGn00020). Exposure time: 10s.