The CUX1 Antibody (CAB2213) is a high-quality antibody developed for reliable detection and analysis of target proteins. Caspases play a crucial role in various cellular processes, including cell differentiation and inflammation. This polyclonal antibody, generated in rabbits, shows high reactivity with human samples and is validated for use in Western blot applications. By specifically binding to caspase proteins, this antibody enables the detection and analysis of these key regulators in a variety of cell types, making it an essential tool for studies in cell biology, cancer research, and drug development.
This antibody is validated for use in WB, IHC-P, IF/ICC, ELISA applications and has demonstrated reactivity against Human, Mouse, Rat samples.
Product Name:
CUX1 Antibody
SKU:
CAB2213
Size:
20μL, 100μL
Reactivity:
Human, Mouse, Rat
Conjugate:
Unconjugated
Immunogen:
Recombinant protein (or fragment).This information is considered to be commercially sensitive.
Golgi Apparatus Membrane, Single-Pass Type Iv Membrane Protein.
Calculated MW:
72-77kDa/147-165kDa
Observed MW:
200kDa
The protein encoded by this gene is a member of the homeodomain family of DNA binding proteins. It may regulate gene expression, morphogenesis, and differentiation and it may also play a role in the cell cycle progession. Several alternatively spliced transcript variants encoding different isoforms have been identified.
Purification Method
Affinity purification
Gene ID
1523
RRID
AB_2764228
Buffer Information
Store at -20℃. Avoid freeze / thaw cycles. Buffer: PBS containing 50% glycerol, preserved with proclin300 or sodium azide, pH 7.3.
Western blot analysis of various lysates using CUX1 Rabbit pAb (CAB2213) at 1:1000 dilution. Secondary antibody: HRP-conjugated Goat anti-Rabbit IgG (H+L) (CABS014) at 1:10000 dilution. Lysates/proteins: 25μg per lane. Blocking buffer: 3% nonfat dry milk in TBST. Detection: ECL Basic Kit (AbGn00020). Exposure time: 30s.
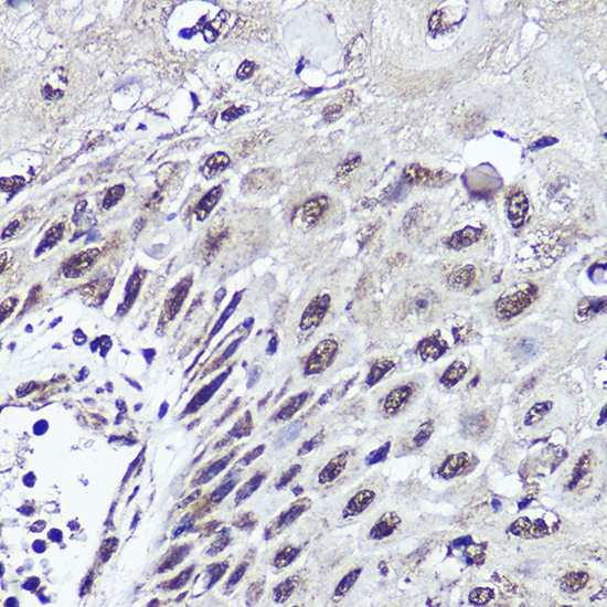
Immunohistochemistry analysis of paraffin-embedded Human esophageal cancer using CUX1 Rabbit pAb (CAB2213) at dilution of 1:200 (40x lens). High pressure antigen retrieval performed with 0.01M Citrate buffer (pH 6.0) prior to IHC staining.
Immunofluorescence analysis of L929 cells using CUX1 Rabbit pAb (CAB2213) at dilution of 1:100. Blue: DAPI for nuclear staining.