The MTDH Antibody (CAB5887) is a high-quality antibody developed for reliable detection and analysis of target proteins. This antibody is raised in rabbits and has been validated for use in various applications, including Western blot and immunohistochemistry.The Lyric protein, also known as AEG-1, is a multifunctional protein involved in cancer progression, metastasis, and drug resistance. Its overexpression has been linked to poor patient outcomes in various cancer types, making it a promising target for therapeutic intervention.
This antibody is validated for use in WB, IHC-P, IF/ICC, ELISA applications and has demonstrated reactivity against Human, Mouse, Rat samples.
Product Name:
MTDH Antibody
SKU:
CAB5887
Size:
20μL, 100μL
Reactivity:
Human, Mouse, Rat
Conjugate:
Unconjugated
Immunogen:
Recombinant protein (or fragment).This information is considered to be commercially sensitive.
Enables NF-kappaB binding activity; double-stranded RNA binding activity; and transcription coactivator activity. Involved in several processes, including lipopolysaccharide-mediated signaling pathway; positive regulation of intracellular signal transduction; and regulation of transcription, DNA-templated. Located in endoplasmic reticulum; nuclear lumen; and perinuclear region of cytoplasm. Implicated in hepatocellular carcinoma.
Purification Method
Affinity purification
Gene ID
92140
RRID
AB_2766635
Buffer Information
Store at -20℃. Avoid freeze / thaw cycles. Buffer: PBS containing 50% glycerol, preserved with proclin300 or sodium azide, pH 7.3.
Western blot analysis of lysates from PC-12 cells, using MTDH Rabbit pAb (CAB5887) at 1:1000 dilution. Secondary antibody: HRP-conjugated Goat anti-Rabbit IgG (H+L) (CABS014) at 1:10000 dilution. Lysates/proteins: 25μg per lane. Blocking buffer: 3% nonfat dry milk in TBST. Detection: ECL Basic Kit (AbGn00020). Exposure time: 7s.
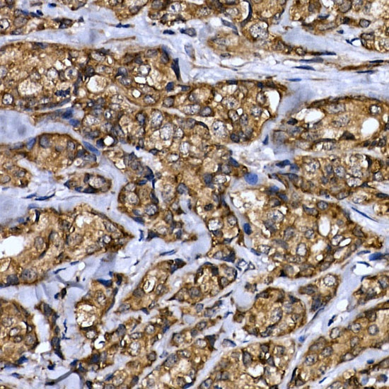
Immunohistochemistry analysis of paraffin-embedded Human breast cancer using MTDH Rabbit pAb (CAB5887) at dilution of 1:200 (40x lens). High pressure antigen retrieval performed with 0.01M Citrate buffer (pH 6.0) prior to IHC staining.
Immunohistochemistry analysis of paraffin-embedded Mouse spinal cord using MTDH Rabbit pAb (CAB5887) at dilution of 1:200 (40x lens). High pressure antigen retrieval performed with 0.01M Citrate buffer (pH 6.0) prior to IHC staining.
Immunohistochemistry analysis of paraffin-embedded Rat brain using MTDH Rabbit pAb (CAB5887) at dilution of 1:200 (40x lens). High pressure antigen retrieval performed with 0.01M Citrate buffer (pH 6.0) prior to IHC staining.