The NDRG2 Antibody (CAB5319) is a high-quality antibody developed for reliable detection and analysis of target proteins. This antibody, produced in rabbits, exhibits high specificity and sensitivity for detecting NDRG2 in human samples, making it ideal for various applications including Western blotting.NDRG2 is a tumor suppressor gene that is downregulated in multiple types of cancer, suggesting its potential as a therapeutic target for cancer treatment. By using the NDRG2 Polyclonal Antibody, researchers can study the expression and function of NDRG2 in different cell types and understand its mechanisms in cancer development and progression.
This antibody is validated for use in WB, ELISA applications and has demonstrated reactivity against Human, Mouse samples.
Product Name:
NDRG2 Antibody
SKU:
CAB5319
Size:
20μL, 100μL
Reactivity:
Human, Mouse
Conjugate:
Unconjugated
Immunogen:
Recombinant protein (or fragment).This information is considered to be commercially sensitive.
This gene is a member of the N-myc downregulated gene family which belongs to the alpha/beta hydrolase superfamily. The protein encoded by this gene is a cytoplasmic protein that may play a role in neurite outgrowth. This gene may be involved in glioblastoma carcinogenesis. Alternative splicing results in multiple transcript variants.
Purification Method
Affinity purification
Gene ID
57447
RRID
AB_2766131
Buffer Information
Store at -20℃. Avoid freeze / thaw cycles. Buffer: PBS containing 50% glycerol, preserved with proclin300 or sodium azide, pH 7.3.
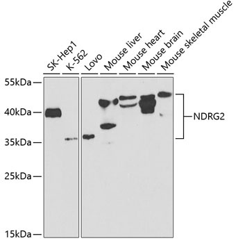
Western blot analysis of various lysates using NDRG2 Rabbit pAb (CAB5319) at 1:1000 dilution. Secondary antibody: HRP-conjugated Goat anti-Rabbit IgG (H+L) (CABS014) at 1:10000 dilution. Lysates/proteins: 25μg per lane. Blocking buffer: 3% nonfat dry milk in TBST.