The TOB2 Antibody (CAB7223) is a high-quality antibody developed for reliable detection and analysis of target proteins. Its high reactivity with human samples ensures accurate and reliable results when detecting and analyzing TOB2 expression in different cell types.
This antibody is validated for use in WB, IHC-P, ELISA applications and has demonstrated reactivity against Human, Mouse, Rat samples.
Product Name:
TOB2 Antibody
SKU:
CAB7223
Size:
20μL, 100μL
Reactivity:
Human, Mouse, Rat
Conjugate:
Unconjugated
Immunogen:
Recombinant protein (or fragment).This information is considered to be commercially sensitive.
Recommended starting concentration is 1 μg/mL. Please optimize the concentration based on your specific assay requirements.
Synonyms:
TOB4, TOBL, APRO5, TROB2, TOB2
Positive Sample:
Jurkat, 293T, MCF7, Rat skeletal muscle
Cellular Localization:
Cytoplasm.
Calculated MW:
37kDa
Observed MW:
37kDa
TOB2 belongs to the TOB (see TOB1; MIM 605523)/BTG1 (MIM 109580) family of antiproliferative proteins, which are involved in the regulation of cell cycle progression.
Purification Method
Affinity purification
Gene ID
10766
RRID
AB_2767772
Buffer Information
Store at -20℃. Avoid freeze / thaw cycles. Buffer: PBS containing 50% glycerol, preserved with proclin300 or sodium azide, pH 7.3.
Western blot analysis of various lysates using TOB2 Rabbit pAb (CAB7223) at 1:1000 dilution. Secondary antibody: HRP-conjugated Goat anti-Rabbit IgG (H+L) (CABS014) at 1:10000 dilution. Lysates/proteins: 25μg per lane. Blocking buffer: 3% nonfat dry milk in TBST. Detection: ECL Enhanced Kit (AbGn00021). Exposure time: 30s.
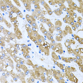
Immunohistochemistry analysis of paraffin-embedded Human liver damage using TOB2 Rabbit pAb (CAB7223) at dilution of 1:100 (40x lens). Microwave antigen retrieval performed with 0.01M PBS Buffer (pH 7.2) prior to IHC staining.