The PRPF31 Antibody (CAB5732) is a high-quality antibody developed for reliable detection and analysis of target proteins. This antibody is produced in rabbits, with high reactivity towards human samples, and is validated for use in Western blot applications. By targeting the PRPF31 protein, this antibody allows for accurate detection and analysis in a variety of cell types, making it ideal for research in molecular biology and genetics.
This antibody is validated for use in WB, IHC-P, ELISA applications and has demonstrated reactivity against Human, Mouse, Rat samples.
Product Name:
PRPF31 Antibody
SKU:
CAB5732
Size:
20μL, 100μL
Reactivity:
Human, Mouse, Rat
Conjugate:
Unconjugated
Immunogen:
Recombinant protein (or fragment).This information is considered to be commercially sensitive.
Recommended starting concentration is 1 μg/mL. Please optimize the concentration based on your specific assay requirements.
Synonyms:
RP11, PRP31, SNRNP61, NY-BR-99, PRPF31
Positive Sample:
U-251MG, Jurkat, HepG2, Mouse lung, Mouse testis, Rat lung, Rat testis
Cellular Localization:
Cajal Body, Nucleus, Nucleus Speckle.
Calculated MW:
55kDa
Observed MW:
56kDa
This gene encodes a component of the spliceosome complex and is one of several retinitis pigmentosa-causing genes. When the gene product is added to the spliceosome complex, activation occurs.
Purification Method
Affinity purification
Gene ID
26121
RRID
AB_2766488
Buffer Information
Store at -20℃. Avoid freeze / thaw cycles. Buffer: PBS with 0.09% Sodium azide,50% glycerol,pH7.3.
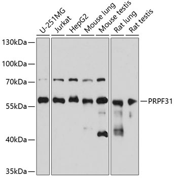
Western blot analysis of various lysates using PRPF31 Rabbit pAb (CAB5732) at 1:3000 dilution. Secondary antibody: HRP-conjugated Goat anti-Rabbit IgG (H+L) (CABS014) at 1:10000 dilution. Lysates/proteins: 25μg per lane. Blocking buffer: 3% nonfat dry milk in TBST. Detection: ECL Basic Kit (AbGn00020). Exposure time: 90s.
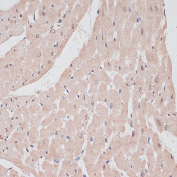
Immunohistochemistry analysis of paraffin-embedded Rat heart using PRPF31 Rabbit pAb (CAB5732) at dilution of 1:100 (40x lens). Microwave antigen retrieval performed with 0.01M PBS Buffer (pH 7.2) prior to IHC staining.
Immunohistochemistry analysis of paraffin-embedded Mouse brain using PRPF31 Rabbit pAb (CAB5732) at dilution of 1:100 (40x lens). Microwave antigen retrieval performed with 0.01M PBS Buffer (pH 7.2) prior to IHC staining.