The PRPF4 Antibody (CAB6052) is a high-quality antibody developed for reliable detection and analysis of target proteins. This antibody, produced in rabbits, exhibits high reactivity with human samples and has been validated for use in Western blot applications. By specifically binding to the PRPF4 protein, this antibody enables precise detection and analysis in a variety of cell types, making it an ideal choice for investigations in molecular biology and gene expression studies.PRPF4 is a key player in the splicing machinery, ensuring the accurate removal of introns and the proper assembly of exons in mRNA.
This antibody is validated for use in WB, IHC-P, ELISA applications and has demonstrated reactivity against Human, Mouse, Rat samples.
Product Name:
PRPF4 Antibody
SKU:
CAB6052
Size:
20μL, 100μL
Reactivity:
Human, Mouse, Rat
Conjugate:
Unconjugated
Immunogen:
Recombinant protein (or fragment).This information is considered to be commercially sensitive.
The protein encoded by this gene is part of a heteromeric complex that binds U4, U5, and U6 small nuclear RNAs and is involved in pre-mRNA splicing. The encoded protein also is a mitotic checkpoint protein and a regulator of chemoresistance in human ovarian cancer. Several transcript variants encoding different isoforms have been found for this gene.
Purification Method
Affinity purification
Gene ID
9128
RRID
AB_2766727
Buffer Information
Store at -20℃. Avoid freeze / thaw cycles. Buffer: PBS containing 50% glycerol, preserved with proclin300 or sodium azide, pH 7.3.
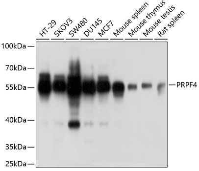
Western blot analysis of various lysates using PRPF4 Rabbit pAb (CAB6052) at 1:1000 dilution. Secondary antibody: HRP-conjugated Goat anti-Rabbit IgG (H+L) (CABS014) at 1:10000 dilution. Lysates/proteins: 25μg per lane. Blocking buffer: 3% nonfat dry milk in TBST. Detection: ECL Basic Kit (AbGn00020). Exposure time: 1s.
Immunohistochemistry analysis of paraffin-embedded Rat lung using PRPF4 Rabbit pAb (CAB6052) at dilution of 1:200 (40x lens). High pressure antigen retrieval performed with 0.01M Citrate buffer (pH 6.0) prior to IHC staining.
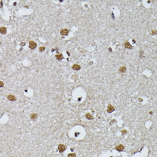
Immunohistochemistry analysis of paraffin-embedded Human brain using PRPF4 Rabbit pAb (CAB6052) at dilution of 1:200 (40x lens). High pressure antigen retrieval performed with 0.01M Citrate buffer (pH 6.0) prior to IHC staining.
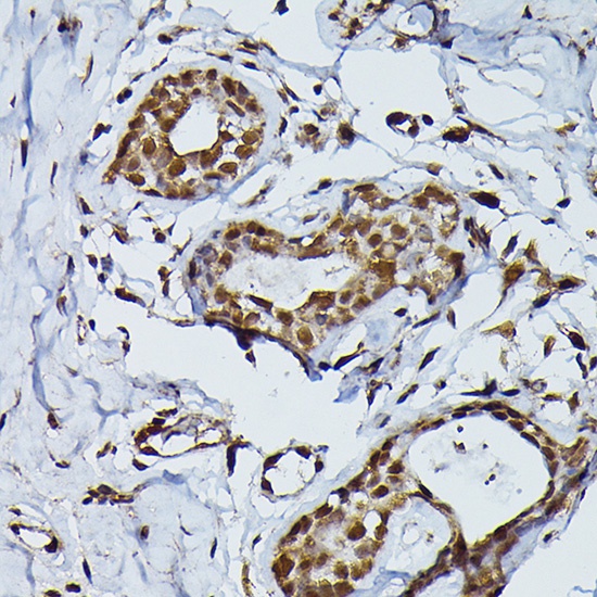
Immunohistochemistry analysis of paraffin-embedded Human breast cancer using PRPF4 Rabbit pAb (CAB6052) at dilution of 1:200 (40x lens). High pressure antigen retrieval performed with 0.01M Citrate buffer (pH 6.0) prior to IHC staining.