The PSMB9/LMP2 Monoclonal Antibody (CAB9549) is a high-quality antibody developed for reliable detection and analysis of target proteins. This antibody, raised in rabbits, demonstrates exceptional reactivity with human samples and has been validated for use in various applications, including Western blotting.PSB9/LMP2, also known as proteasome subunit beta type-9/low molecular weight protein-2, plays a key role in the degradation of intracellular proteins and the generation of antigen peptides for presentation to T cells.
This antibody is validated for use in WB, IHC-P, ELISA applications and has demonstrated reactivity against Human, Mouse, Rat samples.
Product Name:
PSMB9/LMP2 Monoclonal Antibody
SKU:
CAB9549
Size:
20μL, 100μL
Reactivity:
Human, Mouse, Rat
Clone Number:
ARC1629
Conjugate:
Unconjugated
Immunogen:
Recombinant protein (or fragment).This information is considered to be commercially sensitive.
Recommended starting concentration is 1 μg/mL. Please optimize the concentration based on your specific assay requirements.
Synonyms:
LMP2, PRAAS3, PSMB6i, RING12, beta1i, PSMB9/LMP2
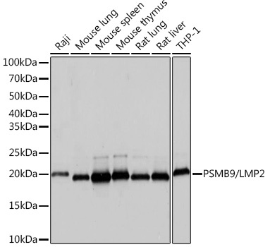
Positive Sample:
Raji, Mouse lung, Mouse spleen, Mouse thymus, Rat lung, Rat liver, THP-1
Cellular Localization:
Cytoplasm, Nucleus.
Calculated MW:
23kDa
Observed MW:
21kDa
The proteasome is a multicatalytic proteinase complex with a highly ordered ring-shaped 20S core structure. The core structure is composed of 4 rings of 28 non-identical subunits; 2 rings are composed of 7 alpha subunits and 2 rings are composed of 7 beta subunits. Proteasomes are distributed throughout eukaryotic cells at a high concentration and cleave peptides in an ATP/ubiquitin-dependent process in a non-lysosomal pathway. An essential function of a modified proteasome, the immunoproteasome, is the processing of class I MHC peptides. This gene encodes a member of the proteasome B-type family, also known as the T1B family, that is a 20S core beta subunit. This gene is located in the class II region of the MHC (major histocompatibility complex). Expression of this gene is induced by gamma interferon and this gene product replaces catalytic subunit 1 (proteasome beta 6 subunit) in the immunoproteasome. Proteolytic processing is required to generate a mature subunit.
Purification Method
Affinity purification
Gene ID
5698
RRID
AB_2863720
Buffer Information
Store at -20℃. Avoid freeze / thaw cycles. Buffer: PBS containing 50% glycerol and 0.05% BSA, preserved with proclin300 or sodium azide, pH 7.3.
Western blot analysis of various lysates using PSMB9/LMP2 Rabbit mAb (CAB9549) at 1:1000 dilution. Secondary antibody: HRP-conjugated Goat anti-Rabbit IgG (H+L) (CABS014) at 1:10000 dilution. Lysates/proteins: 25μg per lane. Blocking buffer: 3% nonfat dry milk in TBST. Detection: ECL Basic Kit (AbGn00020). Exposure time: 1s.
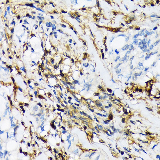
Immunohistochemistry analysis of paraffin-embedded Human lung cancer using PSMB9/LMP2 Rabbit mAb (CAB9549) at dilution of 1:100 (40x lens). Microwave antigen retrieval performed with 0.01M Tris/EDTA Buffer (pH 9.0) prior to IHC staining.