The PSIP1 Polyclonal Antibody (CAB21350) is a high-quality antibody developed for reliable detection and analysis of target proteins. This antibody, generated in rabbits, is highly specific for detecting PSIP1 in human samples and has been validated for use in Western blot applications.PSIP1 plays a crucial role in HIV integration and has been implicated in various diseases, including cancer and neurodegenerative disorders.
This antibody is validated for use in WB, ELISA applications and has demonstrated reactivity against Human, Mouse, Rat samples.
Product Name:
PSIP1 Polyclonal Antibody
SKU:
CAB21350
Size:
20μL, 100μL
Reactivity:
Human, Mouse, Rat
Conjugate:
Unconjugated
Immunogen:
Recombinant protein (or fragment).This information is considered to be commercially sensitive.
Recommended starting concentration is 1 μg/mL. Please optimize the concentration based on your specific assay requirements.
Synonyms:
p52, p75, PAIP, DFS70, LEDGF, PSIP2, PSIP1
Positive Sample:
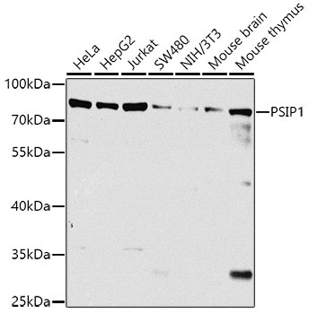
HeLa, Hep G2, Jurkat, SW480, NIH/3T3, Mouse brain, Mouse thymus
Cellular Localization:
Nucleus.
Calculated MW:
60kDa
Observed MW:
Refertofigures
Enables DNA-binding transcription factor binding activity; chromatin binding activity; and transcription coactivator activity. Involved in mRNA 5'-splice site recognition and positive regulation of transcription by RNA polymerase II. Located in heterochromatin; nuclear periphery; and nucleoplasm.
Purification Method
Affinity purification
Gene ID
11168
Buffer Information
Store at -20℃. Avoid freeze / thaw cycles. Buffer: PBS containing 50% glycerol, preserved with proclin300 or sodium azide, pH 7.3.
Western blot analysis of various lysates using PSIP1 Rabbit pAb (CAB21350) at 1:1000 dilution. Secondary antibody: HRP-conjugated Goat anti-Rabbit IgG (H+L) (CABS014) at 1:10000 dilution. Lysates/proteins: 25μg per lane. Blocking buffer: 3% nonfat dry milk in TBST. Detection: ECL Basic Kit (AbGn00020). Exposure time: 5s.