The PSME4 Antibody (CAB13815) is a high-quality antibody developed for reliable detection and analysis of target proteins. This antibody, raised in rabbits, exhibits high reactivity with human samples and is optimized for Western blot applications. By targeting the PSME4 protein, researchers can accurately detect and analyze its expression in various cell types, making it ideal for research in cell biology and protein degradation pathways.PSME4 plays a vital role in regulating protein turnover and maintaining cellular homeostasis by facilitating the degradation of ubiquitinated proteins.
This antibody is validated for use in WB, IHC-P, ELISA applications and has demonstrated reactivity against Human, Mouse, Rat samples.
Product Name:
PSME4 Antibody
SKU:
CAB13815
Size:
20μL, 100μL
Reactivity:
Human, Mouse, Rat
Conjugate:
Unconjugated
Immunogen:
Recombinant protein (or fragment).This information is considered to be commercially sensitive.
Predicted to enable lysine-acetylated histone binding activity; peptidase activator activity; and proteasome binding activity. Predicted to be involved in DNA repair; proteasomal ubiquitin-independent protein catabolic process; and spermatogenesis, exchange of chromosomal proteins. Located in nucleoplasm.
Purification Method
Affinity purification
Gene ID
23198
RRID
AB_2760670
Buffer Information
Store at -20℃. Avoid freeze / thaw cycles. Buffer: PBS with 0.01% thimerosal,50% glycerol,pH7.3.
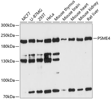
Western blot analysis of various lysates using PSME4 Rabbit pAb (CAB13815) at 1:3000 dilution. Secondary antibody: HRP-conjugated Goat anti-Rabbit IgG (H+L) (CABS014) at 1:10000 dilution. Lysates/proteins: 25μg per lane. Blocking buffer: 3% nonfat dry milk in TBST. Detection: ECL Enhanced Kit (AbGn00021). Exposure time: 90s.
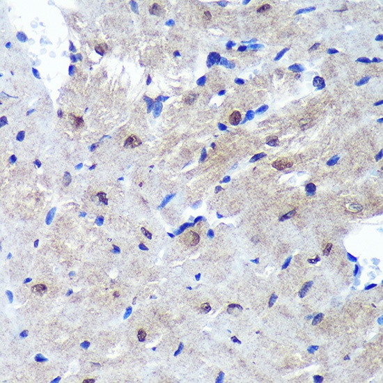
Immunohistochemistry analysis of paraffin-embedded Mouse heart using PSME4 Rabbit pAb (CAB13815) at dilution of 1:100 (40x lens). Microwave antigen retrieval performed with 0.01M PBS Buffer (pH 7.2) prior to IHC staining.
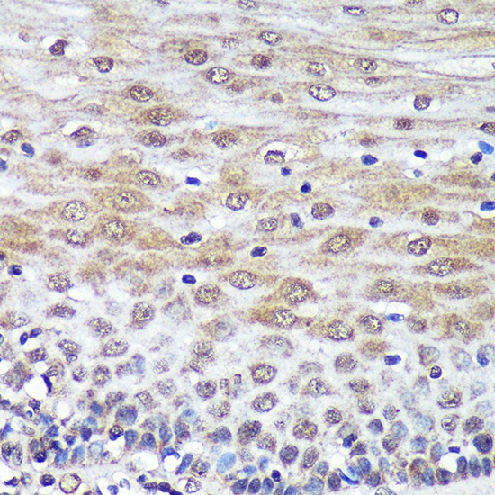
Immunohistochemistry analysis of paraffin-embedded Human esophageal using PSME4 Rabbit pAb (CAB13815) at dilution of 1:100 (40x lens). Microwave antigen retrieval performed with 0.01M PBS Buffer (pH 7.2) prior to IHC staining.