The PSMG1 Antibody (CAB15339) is a high-quality antibody developed for reliable detection and analysis of target proteins. This antibody, generated in rabbits, exhibits high specificity for human samples and is suitable for use in Western blot applications. By binding to the PSMG1 protein, this antibody enables precise detection and analysis in a variety of cell types, making it an essential component for investigations in molecular biology and protein degradation pathways.
This antibody is validated for use in WB, IHC-P, ELISA applications and has demonstrated reactivity against Human, Mouse, Rat samples.
Product Name:
PSMG1 Antibody
SKU:
CAB15339
Size:
20μL, 100μL
Reactivity:
Human, Mouse, Rat
Conjugate:
Unconjugated
Immunogen:
Recombinant protein (or fragment).This information is considered to be commercially sensitive.
Recommended starting concentration is 1 μg/mL. Please optimize the concentration based on your specific assay requirements.
Synonyms:
PAC1, DSCR2, PAC-1, C21LRP, LRPC21, PSMG1
Positive Sample:
HeLa
Cellular Localization:
Cytoplasm, Endoplasmic Reticulum.
Calculated MW:
33kDa
Observed MW:
33kDa
Enables molecular adaptor activity. Involved in chaperone-mediated protein complex assembly. Located in several cellular components, including Golgi apparatus; endoplasmic reticulum; and nucleoplasm. Part of chaperone complex.
Purification Method
Affinity purification
Gene ID
8624
RRID
AB_2762241
Buffer Information
Store at -20℃. Avoid freeze / thaw cycles. Buffer: PBS with 0.01% thimerosal,50% glycerol,pH7.3.
Western blot analysis of lysates from HeLa cells, using PSMG1 Rabbit pAb (CAB15339) at 1:1000 dilution. Secondary antibody: HRP-conjugated Goat anti-Rabbit IgG (H+L) (CABS014) at 1:10000 dilution. Lysates/proteins: 25μg per lane. Blocking buffer: 3% nonfat dry milk in TBST. Detection: ECL Enhanced Kit (AbGn00021). Exposure time: 5s.
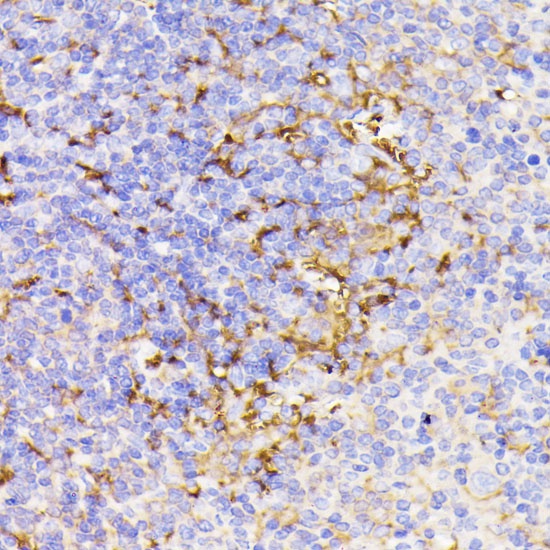
Immunohistochemistry analysis of paraffin-embedded Rat spleen using PSMG1 Rabbit pAb (CAB15339) at dilution of 1:100 (40x lens). Microwave antigen retrieval performed with 0.01M PBS Buffer (pH 7.2) prior to IHC staining.
Immunohistochemistry analysis of paraffin-embedded Mouse spleen using PSMG1 Rabbit pAb (CAB15339) at dilution of 1:100 (40x lens). Microwave antigen retrieval performed with 0.01M PBS Buffer (pH 7.2) prior to IHC staining.