The PSTPIP1 Antibody (CAB7760) is a high-quality antibody developed for reliable detection and analysis of target proteins. This antibody, produced in rabbits, shows high reactivity with human samples and has been validated for use in Western blot applications. By binding to the PSTPIP1 protein, this antibody allows for accurate detection and analysis in various cell types, making it essential for studies in immunology and inflammatory conditions.PSTPIP1, also known as proline-serine-threonine phosphatase-interacting protein 1, plays a crucial role in regulating the inflammatory response by modulating the activation of immune cells.
This antibody is validated for use in WB, IHC-P, ELISA applications and has demonstrated reactivity against Human, Mouse, Rat samples.
Product Name:
PSTPIP1 Antibody
SKU:
CAB7760
Size:
20μL, 100μL
Reactivity:
Human, Mouse, Rat
Conjugate:
Unconjugated
Immunogen:
Recombinant protein (or fragment).This information is considered to be commercially sensitive.
This gene encodes a cytoskeletal protein that is highly expressed in hemopoietic tissues. This protein functions via its interaction with several different proteins involved in cytoskeletal organization and inflammatory processes. It binds to the cytoplasmic tail of CD2, an effector of T cell activation and adhesion, downregulating CD2-triggered adhesion. It binds PEST-type protein tyrosine phosphatases (PTP) and directs them to c-Abl kinase to mediate c-Abl dephosphorylation, thereby, regulating c-Abl activity. It also interacts with pyrin, which is found in association with the cytoskeleton in myeloid/monocytic cells and modulates immunoregulatory functions. Mutations in this gene are associated with PAPA (pyogenic sterile arthritis, pyoderma gangrenosum, and acne) syndrome. It is hypothesized that the disease-causing mutations compromise physiologic signaling necessary for the maintenance of a proper inflammatory response.
Purification Method
Affinity purification
Gene ID
9051
RRID
AB_2771863
Buffer Information
Store at -20℃. Avoid freeze / thaw cycles. Buffer: PBS containing 50% glycerol, preserved with proclin300 or sodium azide, pH 7.3.
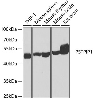
Western blot analysis of various lysates using PSTPIP1 Rabbit pAb (CAB7760) at 1:1000 dilution. Secondary antibody: HRP-conjugated Goat anti-Rabbit IgG (H+L) (CABS014) at 1:10000 dilution. Lysates/proteins: 25μg per lane. Blocking buffer: 3% nonfat dry milk in TBST. Detection: ECL Basic Kit (AbGn00020). Exposure time: 40s.
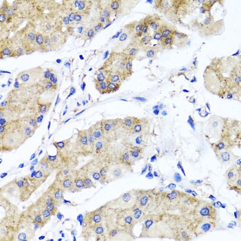
Immunohistochemistry analysis of paraffin-embedded Human stomach using PSTPIP1 Rabbit pAb (CAB7760) at dilution of 1:100 (40x lens). Microwave antigen retrieval performed with 0.01M PBS Buffer (pH 7.2) prior to IHC staining.