The PGE receptor EP2 (PTGER2) Monoclonal Antibody (CAB9053) is a high-quality antibody developed for reliable detection and analysis of target proteins. This antibody, derived from rabbits, exhibits high reactivity with human samples and is specifically validated for use in applications such as Western blotting. By binding to the PTGER2 protein, researchers can accurately detect and analyze its presence in various cell types, making it a valuable resource for studies in immunology and cancer research.
This antibody is validated for use in WB, IHC-P, IF/ICC, ELISA applications and has demonstrated reactivity against Human, Mouse, Rat samples.
Product Name:
PGE receptor EP2 (PTGER2) Monoclonal Antibody
SKU:
CAB9053
Size:
20μL, 100μL
Reactivity:
Human, Mouse, Rat
Clone Number:
ARC1393
Conjugate:
Unconjugated
Immunogen:
Synthetic peptide. This information is considered to be commercially sensitive.
This gene encodes a receptor for prostaglandin E2, a metabolite of arachidonic acid which has different biologic activities in a wide range of tissues. Mutations in this gene are associated with aspirin-induced susceptibility to asthma.
Purification Method
Affinity purification
Gene ID
5732
RRID
AB_2863647
Buffer Information
Store at -20℃. Avoid freeze / thaw cycles. Buffer: PBS containing 50% glycerol and 0.05% BSA, preserved with proclin300 or sodium azide, pH 7.3.
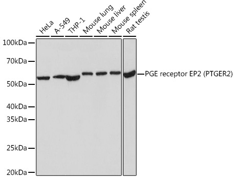
Western blot analysis of various lysates using PGE receptor EP2 (PTGER2) Rabbit mAb (CAB9053) at 1:1000 dilution incubated overnight at 4°C. Secondary antibody: HRP-conjugated Goat anti-Rabbit IgG (H+L) (CABS014) at 1:10000 dilution. Lysates/proteins: 25 μg per lane. Blocking buffer: 3% nonfat dry milk in TBST. Detection: ECL Basic Kit (AbGn00020). Exposure time: 3 s.
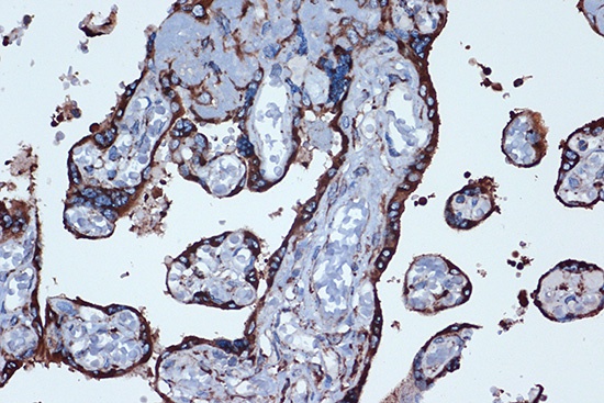
Immunohistochemistry analysis of paraffin-embedded Human placenta using PGE receptor EP2 (PTGER2) Rabbit mAb (CAB9053) at dilution of 1:100 (40x lens). Microwave antigen retrieval performed with 0.01M Tris/EDTA Buffer (pH 9.0) prior to IHC staining.
Immunofluorescence analysis of NIH-3T3 cells using PGE receptor EP2 (PTGER2) Rabbit mAb (CAB9053) at dilution of 1:100 (40x lens). Secondary antibody: Cy3-conjugated Goat anti-Rabbit IgG (H+L) (CABS007) at 1:500 dilution. Blue: DAPI for nuclear staining.
Immunofluorescence analysis of U-2 OS cells using PGE receptor EP2 (PTGER2) Rabbit mAb (CAB9053) at dilution of 1:100 (40x lens). Secondary antibody: Cy3-conjugated Goat anti-Rabbit IgG (H+L) (CABS007) at 1:500 dilution. Blue: DAPI for nuclear staining.