The PTPRN2 Antibody (CAB14774) is a high-quality antibody developed for reliable detection and analysis of target proteins. This antibody, produced in rabbits, is highly specific to human samples and has been validated for use in Western blot applications. It binds to PTPRN2, allowing for accurate detection and analysis in a variety of cell types, making it ideal for studies in endocrinology and metabolic disorders.PTPRN2, also known as islet cell antigen-related protein, plays a critical role in insulin exocytosis and regulation of blood glucose levels.
This antibody is validated for use in WB, IHC-P, ELISA applications and has demonstrated reactivity against Human, Mouse, Rat samples.
Product Name:
PTPRN2 Antibody
SKU:
CAB14774
Size:
20μL, 100μL
Reactivity:
Human, Mouse, Rat
Conjugate:
Unconjugated
Immunogen:
Recombinant protein (or fragment).This information is considered to be commercially sensitive.
Recommended starting concentration is 1 μg/mL. Please optimize the concentration based on your specific assay requirements.
Synonyms:
IAR, ICAAR, PTPRP, IA-2beta, R-PTP-N2, PTPRN2
Positive Sample:
SH-SY5Y, SGC-7901, Mouse pancreas, Rat pancreas
Cellular Localization:
Cytoplasmic Vesicle, Single-Pass Type I Membrane Protein, Secretory Vesicle, Secretory Vesicle Membrane, Synaptic Vesicle Membrane.
Calculated MW:
111kDa
Observed MW:
111kDa
This gene encodes a protein with sequence similarity to receptor-like protein tyrosine phosphatases. However, tyrosine phosphatase activity has not been experimentally validated for this protein. Studies of the rat ortholog suggest that the encoded protein may instead function as a phosphatidylinositol phosphatase with the ability to dephosphorylate phosphatidylinositol 3-phosphate and phosphatidylinositol 4,5-diphosphate, and this function may be involved in the regulation of insulin secretion. This protein has been identified as an autoantigen in insulin-dependent diabetes mellitus. Alternative splicing results in multiple transcript variants.
Purification Method
Affinity purification
Gene ID
5799
RRID
AB_2761650
Buffer Information
Store at -20℃. Avoid freeze / thaw cycles. Buffer: PBS with 0.09% Sodium azide,50% glycerol,pH7.3.
Western blot analysis of various lysates using PTPRN2 Rabbit pAb (CAB14774) at 1:1000 dilution. Secondary antibody: HRP-conjugated Goat anti-Rabbit IgG (H+L) (CABS014) at 1:10000 dilution. Lysates/proteins: 25μg per lane. Blocking buffer: 3% nonfat dry milk in TBST. Detection: ECL Basic Kit (AbGn00020). Exposure time: 5s.
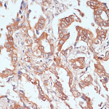
Immunohistochemistry analysis of paraffin-embedded Human mammary cancer using PTPRN2 Rabbit pAb (CAB14774) at dilution of 1:100 (40x lens). Microwave antigen retrieval performed with 0.01M PBS Buffer (pH 7.2) prior to IHC staining.
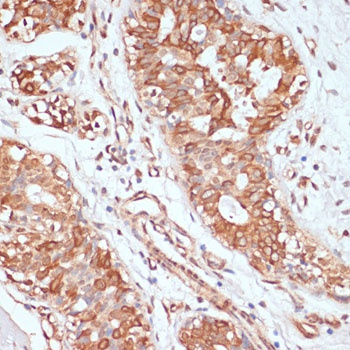
Immunohistochemistry analysis of paraffin-embedded Human lung cancer using PTPRN2 Rabbit pAb (CAB14774) at dilution of 1:100 (40x lens). Microwave antigen retrieval performed with 0.01M PBS Buffer (pH 7.2) prior to IHC staining.
Immunohistochemistry analysis of paraffin-embedded Mouse pancreas using PTPRN2 Rabbit pAb (CAB14774) at dilution of 1:100 (40x lens). Microwave antigen retrieval performed with 0.01M PBS Buffer (pH 7.2) prior to IHC staining.