The PUF60 Antibody (CAB6709) is a high-quality antibody developed for reliable detection and analysis of target proteins. This antibody, generated in rabbits, exhibits strong reactivity with human samples and has been validated for use in Western blot applications. By binding specifically to the PUF60 protein, this antibody enables accurate detection and analysis in various cell types, making it well-suited for research in molecular biology and gene expression studies.PUF60, also referred to as poly-U binding splicing factor 60, plays a crucial role in regulating gene expression through its interactions with RNA molecules.
This antibody is validated for use in WB, IP, ELISA applications and has demonstrated reactivity against Human, Mouse, Rat samples.
Product Name:
PUF60 Antibody
SKU:
CAB6709
Size:
20μL, 100μL
Reactivity:
Human, Mouse, Rat
Conjugate:
Unconjugated
Immunogen:
Recombinant protein (or fragment).This information is considered to be commercially sensitive.
0.5μg-4μg antibody for 200μg-400μg extracts of whole cells
ELISA
Recommended starting concentration is 1 μg/mL. Please optimize the concentration based on your specific assay requirements.
Synonyms:
FIR, VRJS, RoBPI, SIAHBP1, PUF60
Positive Sample:
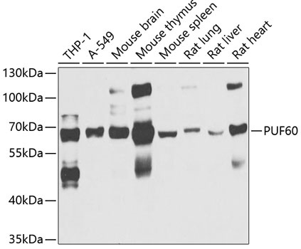
THP-1, A-549, Mouse brain, Mouse thymus, Mouse spleen, Rat lung, Rat liver, Rat heart
Cellular Localization:
Nucleus.
Calculated MW:
60kDa
Observed MW:
65kDa
This gene encodes a nucleic acid-binding protein that plays a role in a variety of nuclear processes, including pre-mRNA splicing and transcriptional regulation. The encoded protein forms a complex with the far upstream DNA element (FUSE) and FUSE-binding protein at the myelocytomatosis oncogene (MYC) promoter. This complex represses MYC transcription through the core-TFIIH basal transcription factor. Alternatively spliced transcript variants encoding multiple isoforms have been observed for this gene.
Purification Method
Affinity purification
Gene ID
22827
RRID
AB_2767293
Buffer Information
Store at -20℃. Avoid freeze / thaw cycles. Buffer: PBS containing 50% glycerol, preserved with proclin300 or sodium azide, pH 7.3.
Western blot analysis of various lysates using PUF60 Rabbit pAb (CAB6709) at 1:1000 dilution. Secondary antibody: HRP-conjugated Goat anti-Rabbit IgG (H+L) (CABS014) at 1:10000 dilution. Lysates/proteins: 25μg per lane. Blocking buffer: 3% nonfat dry milk in TBST. Detection: ECL Basic Kit (AbGn00020). Exposure time: 30s.
Immunoprecipitation analysis of 150 μg extracts of A549 cells using 3 μg PUF60 antibody (CAB6709). Western blot was performed from the immunoprecipitate using PUF60 antibody (CAB6709) at a dilution of 1:500.