The PYCR2 Antibody (CAB15155) is a high-quality antibody developed for reliable detection and analysis of target proteins. This antibody, produced using rabbits as hosts, exhibits high reactivity with human samples and has been validated for Western blot applications. By targeting the PYCR2 protein, this antibody allows for precise detection and analysis in a variety of cell types, making it ideal for investigations in the fields of biochemistry and cancer biology.
This antibody is validated for use in WB, IHC-P, IF/ICC, ELISA applications and has demonstrated reactivity against Human, Mouse, Rat samples.
Product Name:
PYCR2 Antibody
SKU:
CAB15155
Size:
20μL, 100μL
Reactivity:
Human, Mouse, Rat
Conjugate:
Unconjugated
Immunogen:
Recombinant protein (or fragment).This information is considered to be commercially sensitive.
Recommended starting concentration is 1 μg/mL. Please optimize the concentration based on your specific assay requirements.
Synonyms:
HLD10, P5CR2, PYCR2
Positive Sample:
HeLa, A-431, THP-1
Cellular Localization:
Cytoplasm, Mitochondrion.
Calculated MW:
34kDa
Observed MW:
35kDa
This gene belongs to the pyrroline-5-carboxylate reductase family. The encoded mitochondrial protein catalyzes the conversion of pyrroline-5-carboxylate to proline, which is the last step in proline biosynthesis. Alternatively spliced transcript variants have been described for this gene.
Purification Method
Affinity purification
Gene ID
29920
RRID
AB_2762043
Buffer Information
Store at -20℃. Avoid freeze / thaw cycles. Buffer: PBS containing 50% glycerol, preserved with proclin300 or sodium azide, pH 7.3.
Western blot analysis of various lysates, using PYCR2 Rabbit pAb (CAB15155) at 1:1000 dilution. Secondary antibody: HRP-conjugated Goat anti-Rabbit IgG (H+L) (CABS014) at 1:10000 dilution. Lysates/proteins: 25μg per lane. Blocking buffer: 3% nonfat dry milk in TBST. Detection: ECL Basic Kit (AbGn00020). Exposure time: 60s.
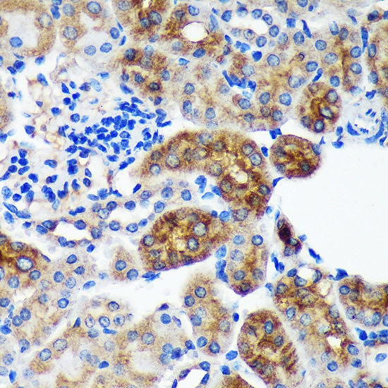
Immunohistochemistry analysis of paraffin-embedded Mouse kidney using PYCR2 Rabbit pAb (CAB15155) at dilution of 1:100 (40x lens). Microwave antigen retrieval performed with 0.01M PBS Buffer (pH 7.2) prior to IHC staining.
Immunohistochemistry analysis of paraffin-embedded Human liver cancer using PYCR2 Rabbit pAb (CAB15155) at dilution of 1:100 (40x lens). Microwave antigen retrieval performed with 0.01M PBS Buffer (pH 7.2) prior to IHC staining.
Immunofluorescence analysis of C6 cells using PYCR2 Rabbit pAb (CAB15155) at dilution of 1:100. Secondary antibody: Cy3-conjugated Goat anti-Rabbit IgG (H+L) (CABS007) at 1:500 dilution. Blue: DAPI for nuclear staining.
Immunofluorescence analysis of L929 cells using PYCR2 Rabbit pAb (CAB15155) at dilution of 1:100. Secondary antibody: Cy3-conjugated Goat anti-Rabbit IgG (H+L) (CABS007) at 1:500 dilution. Blue: DAPI for nuclear staining.