The RAB3IP Antibody (CAB8094) is a high-quality antibody developed for reliable detection and analysis of target proteins. This antibody, produced in rabbits, exhibits high reactivity with human samples and has been validated for use in Western blot applications. By binding specifically to Rab3IP, this antibody enables the precise detection and analysis of the protein in a variety of cell types.Rab3IP is a key regulator of vesicle transport and neurotransmitter release, making it essential for proper cell functioning. Dysregulation of Rab3IP has been linked to various diseases, including neurodegenerative disorders and cancer.
This antibody is validated for use in WB, ELISA applications and has demonstrated reactivity against Human, Mouse, Rat samples.
Product Name:
RAB3IP Antibody
SKU:
CAB8094
Size:
20μL, 100μL
Reactivity:
Human, Mouse, Rat
Conjugate:
Unconjugated
Immunogen:
Recombinant protein (or fragment).This information is considered to be commercially sensitive.
Enables guanyl-nucleotide exchange factor activity and identical protein binding activity. Involved in cilium assembly; protein localization to organelle; and protein targeting to membrane. Located in centrosome; cytosol; and nucleus.
Purification Method
Affinity purification
Gene ID
117177
RRID
AB_2771916
Buffer Information
Store at -20℃. Avoid freeze / thaw cycles. Buffer: PBS containing 50% glycerol, preserved with proclin300 or sodium azide, pH 7.3.
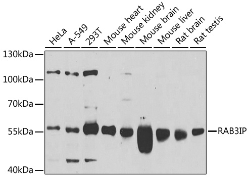
Western blot analysis of various lysates using RAB3IP Rabbit pAb (CAB8094) at 1:1000 dilution. Secondary antibody: HRP-conjugated Goat anti-Rabbit IgG (H+L) (CABS014) at 1:10000 dilution. Lysates/proteins: 25μg per lane. Blocking buffer: 3% nonfat dry milk in TBST. Detection: ECL Basic Kit (AbGn00020). Exposure time: 30s.