The RAC2 Antibody (CAB1139) is a high-quality antibody developed for reliable detection and analysis of target proteins. This antibody, produced in rabbits, is highly specific to human samples and has been validated for use in Western blot applications.RAC2 plays a critical role in immune cell function, particularly in processes such as phagocytosis and superoxide production. Dysregulation of RAC2 activity has been implicated in various diseases, including cancer, inflammatory disorders, and immune deficiencies.
This antibody is validated for use in WB, IHC-P, IF/ICC, ELISA applications and has demonstrated reactivity against Human, Mouse, Rat samples.
Product Name:
RAC2 Antibody
SKU:
CAB1139
Size:
20μL, 100μL
Reactivity:
Human, Mouse, Rat
Conjugate:
Unconjugated
Immunogen:
Synthetic peptide. This information is considered to be commercially sensitive.
This gene encodes a member of the Ras superfamily of small guanosine triphosphate (GTP)-metabolizing proteins. The encoded protein localizes to the plasma membrane, where it regulates diverse processes, such as secretion, phagocytosis, and cell polarization. Activity of this protein is also involved in the generation of reactive oxygen species. Mutations in this gene are associated with neutrophil immunodeficiency syndrome. There is a pseudogene for this gene on chromosome 6.
Purification Method
Affinity purification
Gene ID
5880
RRID
AB_2758538
Buffer Information
Store at -20℃. Avoid freeze / thaw cycles. Buffer: PBS containing 50% glycerol, preserved with proclin300 or sodium azide, pH 7.3.
Western blot analysis of various lysates, using RAC2 Rabbit pAb (CAB1139) at 1:1000 dilution. Secondary antibody: HRP-conjugated Goat anti-Rabbit IgG (H+L) (CABS014) at 1:10000 dilution. Lysates/proteins: 25μg per lane. Blocking buffer: 3% nonfat dry milk in TBST. Detection: ECL Basic Kit (AbGn00020). Exposure time: 180s.
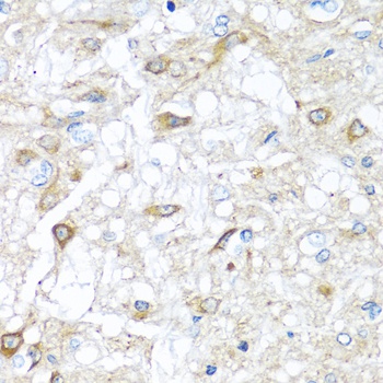
Immunohistochemistry analysis of paraffin-embedded Rat brain using RAC2 Rabbit pAb (CAB1139) at dilution of 1:100 (40x lens). Microwave antigen retrieval performed with 0.01M PBS Buffer (pH 7.2) prior to IHC staining.
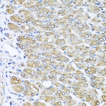
Immunohistochemistry analysis of paraffin-embedded Mouse stomach using RAC2 Rabbit pAb (CAB1139) at dilution of 1:100 (40x lens). Microwave antigen retrieval performed with 0.01M PBS Buffer (pH 7.2) prior to IHC staining.