The Rap1A Antibody (CAB0975) is a high-quality antibody developed for reliable detection and analysis of target proteins. This antibody, generated in rabbits, exhibits high specificity and sensitivity for human samples, making it ideal for use in Western blot applications.Rap1A is a crucial mediator of various cellular processes, including cell adhesion, migration, and proliferation, as well as vesicle trafficking and signaling cascades. Aberrant activation or dysregulation of Rap1A has been implicated in diseases such as cancer and cardiovascular disorders, making it a valuable target for research in these fields.
This antibody is validated for use in WB, IHC-P, ELISA applications and has demonstrated reactivity against Human, Mouse, Rat samples.
Product Name:
Rap1A Antibody
SKU:
CAB0975
Size:
20μL, 100μL
Reactivity:
Human, Mouse, Rat
Conjugate:
Unconjugated
Immunogen:
Synthetic peptide. This information is considered to be commercially sensitive.
Recommended starting concentration is 1 μg/mL. Please optimize the concentration based on your specific assay requirements.
Synonyms:
RAP1, C21KG, G-22K, KREV1, KREV-1, SMGP21, 1A
Positive Sample:
293T, U-87MG, HL-60
Cellular Localization:
Cell Junction, Cell Membrane, Cytoplasm, Early Endosome, Lipid-Anchor, Perinuclear Region.
Calculated MW:
21kDa
Observed MW:
21kDa
This gene encodes a member of the Ras family of small GTPases. The encoded protein undergoes a change in conformational state and activity, depending on whether it is bound to GTP or GDP. This protein is activated by several types of guanine nucleotide exchange factors (GEFs), and inactivated by two groups of GTPase-activating proteins (GAPs). The activation status of the encoded protein is therefore affected by the balance of intracellular levels of GEFs and GAPs. The encoded protein regulates signaling pathways that affect cell proliferation and adhesion, and may play a role in tumor malignancy. Pseudogenes of this gene have been defined on chromosomes 14 and 17. Alternative splicing results in multiple transcript variants.
Purification Method
Affinity purification
Gene ID
5906
RRID
AB_2757494
Buffer Information
Store at -20℃. Avoid freeze / thaw cycles. Buffer: PBS containing 50% glycerol, preserved with proclin300 or sodium azide, pH 7.3.
Western blot analysis of various lysates using [KO Validated] Rap1A Rabbit pAb (CAB0975) at 1:1000 dilution. Secondary antibody: HRP-conjugated Goat anti-Rabbit IgG (H+L) (CABS014) at 1:10000 dilution. Lysates/proteins: 25μg per lane. Blocking buffer: 3% nonfat dry milk in TBST. Detection: ECL Basic Kit (AbGn00020). Exposure time: 90s.
Western blot analysis of lysates from wild type(WT) and Rap1A knockdown (KD) 293T cells, using [KO Validated] Rap1A Rabbit pAb (CAB0975) at 1:1000 dilution. Secondary antibody: HRP-conjugated Goat anti-Rabbit IgG (H+L) (CABS014) at 1:10000 dilution. Lysates/proteins: 25μg per lane. Blocking buffer: 3% nonfat dry milk in TBST. Detection: ECL Basic Kit (AbGn00020). Exposure time: 90s.
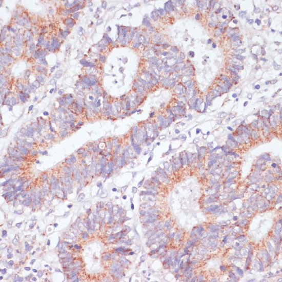
Immunohistochemistry analysis of paraffin-embedded Human colon carcinoma using [KO Validated] Rap1A Rabbit pAb (CAB0975) at dilution of 1:100 (40x lens). Microwave antigen retrieval performed with 0.01M PBS Buffer (pH 7.2) prior to IHC staining.
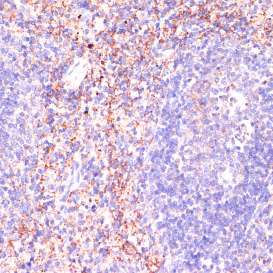
Immunohistochemistry analysis of paraffin-embedded Mouse spleen using [KO Validated] Rap1A Rabbit pAb (CAB0975) at dilution of 1:100 (40x lens). Microwave antigen retrieval performed with 0.01M PBS Buffer (pH 7.2) prior to IHC staining.