The RARG Monoclonal Antibody (CAB23233) is a high-quality antibody developed for reliable detection and analysis of target proteins. This monoclonal antibody, produced using hybridoma technology, offers high specificity and sensitivity for detecting RARG in a variety of samples.RARG, a nuclear receptor transcription factor, plays a crucial role in regulating cell differentiation, proliferation, and apoptosis. It is known to be involved in multiple signaling pathways and has been linked to the development of cancer, metabolic disorders, and developmental abnormalities. By targeting RARG with this monoclonal antibody, researchers can gain valuable insights into its function and potential as a therapeutic target.
This antibody is validated for use in WB, ELISA applications and has demonstrated reactivity against Human, Mouse, Rat samples.
Product Name:
RARG Monoclonal Antibody
SKU:
CAB23233
Size:
20μL, 100μL
Reactivity:
Human, Mouse, Rat
Clone Number:
ARC59266
Conjugate:
Unconjugated
Immunogen:
Synthetic peptide. This information is considered to be commercially sensitive.
Recommended starting concentration is 1 μg/mL. Please optimize the concentration based on your specific assay requirements.
Synonyms:
RARC, NR1B3, RARgamma, RARG
Positive Sample:
MCF7, SK-BR-3, Mouse lung, Mouse kidney, Rat uterus
Cellular Localization:
Nucleus.
Calculated MW:
50kDa
Observed MW:
50kDa
This gene encodes a retinoic acid receptor that belongs to the nuclear hormone receptor family. Retinoic acid receptors (RARs) act as ligand-dependent transcriptional regulators. When bound to ligands, RARs activate transcription by binding as heterodimers to the retinoic acid response elements (RARE) found in the promoter regions of the target genes. In their unbound form, RARs repress transcription of their target genes. RARs are involved in various biological processes, including limb bud development, skeletal growth, and matrix homeostasis. Alternatively spliced transcript variants encoding different isoforms have been found for this gene.
Purification Method
Affinity purification
Gene ID
5916
Buffer Information
Store at -20℃. Avoid freeze / thaw cycles. Buffer: PBS containing 50% glycerol and 0.05% BSA, preserved with proclin300 or sodium azide, pH 7.3.
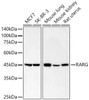
Western blot analysis of various lysates, using RARG Rabbit mAb (CAB23233) at 1:1000 dilution. Secondary antibody: HRP-conjugated Goat anti-Rabbit IgG (H+L) (CABS014) at 1:10000 dilution. Lysates/proteins: 25μg per lane. Blocking buffer: 3% nonfat dry milk in TBST. Detection: ECL Basic Kit (AbGn00020). Exposure time: 20s.