The RASSF5 Antibody (CAB7389) is a high-quality antibody developed for reliable detection and analysis of target proteins. This antibody, produced in rabbits, is highly specific to human samples and has been validated for use in Western blot applications. By binding to the RASSF5 protein, this antibody allows for the detection and analysis of RASSF5 in various cell types, making it ideal for investigations in cancer biology and cell signaling pathways.RASSF5, also known as Ras association domain-containing protein 5, is involved in regulating cell proliferation, apoptosis, and cell cycle progression. Dysregulation of RASSF5 has been implicated in various cancers and other diseases, making it a promising target for therapeutic interventions.
This antibody is validated for use in WB, ELISA applications and has demonstrated reactivity against Human, Mouse, Rat samples.
Product Name:
RASSF5 Antibody
SKU:
CAB7389
Size:
20μL, 100μL
Reactivity:
Human, Mouse, Rat
Conjugate:
Unconjugated
Immunogen:
Recombinant protein (or fragment).This information is considered to be commercially sensitive.
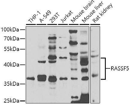
THP-1, A-549, 293T, Jurkat, Mouse brain, Mouse liver, Rat kidney
Cellular Localization:
Cytoplasm, Cytoskeleton.
Calculated MW:
47kDa
Observed MW:
37kDa,45kDa
This gene is a member of the Ras association domain family. It functions as a tumor suppressor, and is inactivated in a variety of cancers. The encoded protein localizes to centrosomes and microtubules, and associates with the GTP-activated forms of Ras, Rap1, and several other Ras-like small GTPases. The protein regulates lymphocyte adhesion and suppresses cell growth in response to activated Rap1 or Ras. Multiple transcript variants encoding different isoforms have been found for this gene.
Purification Method
Affinity purification
Gene ID
83593
RRID
AB_2767921
Buffer Information
Store at -20℃. Avoid freeze / thaw cycles. Buffer: PBS containing 50% glycerol, preserved with proclin300 or sodium azide, pH 7.3.
Western blot analysis of various lysates using RASSF5 Rabbit pAb (CAB7389) at 1:1000 dilution. Secondary antibody: HRP-conjugated Goat anti-Rabbit IgG (H+L) (CABS014) at 1:10000 dilution. Lysates/proteins: 25μg per lane. Blocking buffer: 3% nonfat dry milk in TBST. Detection: ECL Basic Kit (AbGn00020). Exposure time: 90s.