RAVER2 Antibody is a premium polyclonal that offers outstanding performance and reliability for demanding research applications. Rigorously validated for ELISA, WB, IHC, IF, this antibody ensures consistent, reproducible results across multiple experimental platforms. Demonstrates excellent reactivity with Human samples, providing researchers with confidence in cross-species compatibility. Conveniently packaged in 50ug format to meet your experimental needs. For optimal performance, store at -20°C or -80°C and maintains stability for 12 months. Backed by rigorous quality control testing to ensure superior performance in your critical research applications.
Product Name:
RAVER2 Antibody
SKU:
PACO41138
Size:
50μg
Isotype:
IgG
Host Species:
Rabbit
Reactivity:
Human
Immunogen:
Recombinant Human Ribonucleoprotein PTB-binding 2 protein (2-691AA)
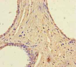
Immunohistochemistry of paraffin-embedded human prostate cancer using PACO41138 at dilution of 1:100
Western Blot Positive WB detected in: Jurkat whole cell lysate, SH-SY5Y whole cell lysate All lanes: RAVER2 antibody at 3µg/ml Secondary Goat polyclonal to rabbit IgG at 1/50000 dilution Predicted band size: 75, 73 kDa Observed band size: 75 kDa
Immunofluorescent analysis of PC-3 cells using PACO41138 at dilution of 1:100 and Alexa Fluor 488-congugated AffiniPure Goat Anti-Rabbit IgG(H+L)