rbcL Antibody is a premium polyclonal that offers outstanding performance and reliability for demanding research applications. Rigorously validated for ELISA, WB, this antibody ensures consistent, reproducible results across multiple experimental platforms. Demonstrates excellent reactivity with Arabidopsis thaliana samples, providing researchers with confidence in cross-species compatibility. Conveniently packaged in 50ul format to meet your experimental needs. For optimal performance, store at -20°C or -80°C and maintains stability for 12 months. Backed by rigorous quality control testing to ensure superior performance in your critical research applications.
Product Name:
rbcL Antibody
SKU:
PACO62039
Size:
50μl
Isotype:
IgG
Host Species:
Rabbit
Reactivity:
Arabidopsis thaliana
Immunogen:
Recombinant Arabidopsis thaliana Ribulose bisphosphate carboxylase large chain protein (3-479AA)
Immunogen Species:
Arabidopsis thaliana
Uniprot No:
O03042
Form:
Liquid
Tested Applications:
ELISAWB
Recommended Dilution:
Application
Recommended Dilution
WB
1:500-1:2000
Synonyms:
rbcL antibody, AtCg00490 antibody, Ribulose bisphosphate carboxylase large chain antibody, RuBisCO large subunit antibody, EC 4.1.1.39 antibody
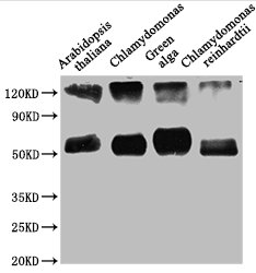
Western Blot Positive WB detected in: Arabidopsis thaliana leaf tissue, Chlamydomonas tissue, Green alga tissue, Chlamydomonas reinhardtii tissue All lanes: rbcL antibody at 1:1250 Secondary Goat polyclonal to rabbit IgG at 1/50000 dilution Predicted band size: 53 kDa Observed band size: 53 kDa