The RBM3 Antibody (CAB5931) is a high-quality antibody developed for reliable detection and analysis of target proteins. This antibody, generated in rabbits, exhibits high specificity and sensitivity for RBM3 in human samples, making it an ideal choice for Western blot applications.RBM3 is known for its ability to enhance the translation of specific mRNAs, leading to increased protein production and cell viability in response to cold shock, hypoxia, and other cellular stressors. Its role in promoting cell survival has important implications for research in areas such as cancer, neurodegenerative diseases, and ischemic injury.
This antibody is validated for use in WB, IHC-P, ELISA applications and has demonstrated reactivity against Human, Mouse, Rat samples.
Product Name:
RBM3 Antibody
SKU:
CAB5931
Size:
20μL, 100μL
Reactivity:
Human, Mouse, Rat
Conjugate:
Unconjugated
Immunogen:
Recombinant protein (or fragment).This information is considered to be commercially sensitive.
Recommended starting concentration is 1 μg/mL. Please optimize the concentration based on your specific assay requirements.
Synonyms:
RNPL, IS1-RNPL, RBM3
Positive Sample:
HeLa, Jurkat, HL-60
Cellular Localization:
Cell Projection, Cytoplasm, Nucleus, Dendrite.
Calculated MW:
17kDa
Observed MW:
17kDa
This gene is a member of the glycine-rich RNA-binding protein family and encodes a protein with one RNA recognition motif (RRM) domain. Expression of this gene is induced by cold shock and low oxygen tension. A pseudogene exists on chromosome 1. Multiple alternatively spliced transcript variants that are predicted to encode different isoforms have been characterized although some of these variants fit nonsense-mediated decay (NMD) criteria.
Purification Method
Affinity purification
Gene ID
5935
RRID
AB_2766668
Buffer Information
Store at -20℃. Avoid freeze / thaw cycles. Buffer: PBS containing 50% glycerol, preserved with proclin300 or sodium azide, pH 7.3.
Western blot analysis of various lysates using RBM3 Rabbit pAb (CAB5931) at 1:1000 dilution. Secondary antibody: HRP-conjugated Goat anti-Rabbit IgG (H+L) (CABS014) at 1:10000 dilution. Lysates/proteins: 25μg per lane. Blocking buffer: 3% nonfat dry milk in TBST. Detection: ECL Basic Kit (AbGn00020). Exposure time: 60s.
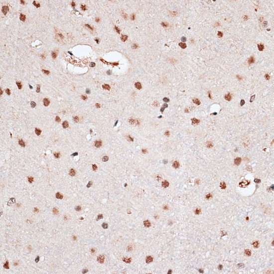
Immunohistochemistry analysis of paraffin-embedded Rat brain using RBM3 Rabbit pAb (CAB5931) at dilution of 1:100 (40x lens). Microwave antigen retrieval performed with 0.01M PBS Buffer (pH 7.2) prior to IHC staining.
Immunohistochemistry analysis of paraffin-embedded Mouse brain using RBM3 Rabbit pAb (CAB5931) at dilution of 1:100 (40x lens). Microwave antigen retrieval performed with 0.01M PBS Buffer (pH 7.2) prior to IHC staining.