The RBM39 Antibody (CAB15760) is a high-quality antibody developed for reliable detection and analysis of target proteins. This antibody, raised in rabbits, is highly specific for RBM39 and is validated for use in various applications including Western blot and immunohistochemistry.RBM39 is known to play a critical role in alternative splicing of pre-mRNA, which can impact gene expression and protein diversity. Dysregulation of RBM39 has been implicated in various diseases including cancer, making it a promising target for therapeutic interventions.
This antibody is validated for use in WB, IHC-P, IF/ICC, ELISA applications and has demonstrated reactivity against Human, Mouse, Rat samples.
Product Name:
RBM39 Antibody
SKU:
CAB15760
Size:
20μL, 100μL
Reactivity:
Human, Mouse, Rat
Conjugate:
Unconjugated
Immunogen:
Synthetic peptide. This information is considered to be commercially sensitive.
This gene encodes a member of the U2AF65 family of proteins. The encoded protein is found in the nucleus, where it co-localizes with core spliceosomal proteins. It has been shown to play a role in both steroid hormone receptor-mediated transcription and alternative splicing, and it is also a transcriptional coregulator of the viral oncoprotein v-Rel. Multiple transcript variants have been observed for this gene. A related pseudogene has been identified on chromosome X.
Purification Method
Affinity purification
Gene ID
9584
RRID
AB_2763178
Buffer Information
Store at -20℃. Avoid freeze / thaw cycles. Buffer: PBS with 0.01% Thimerosal,50% glycerol,pH7.3.
Western blot analysis of various lysates using RBM39 Rabbit pAb (CAB15760) at 1:1000 dilution. Secondary antibody: HRP-conjugated Goat anti-Rabbit IgG (H+L) (CABS014) at 1:10000 dilution. Lysates/proteins: 25μg per lane. Blocking buffer: 3% nonfat dry milk in TBST. Detection: ECL Basic Kit (AbGn00020). Exposure time: 1s.
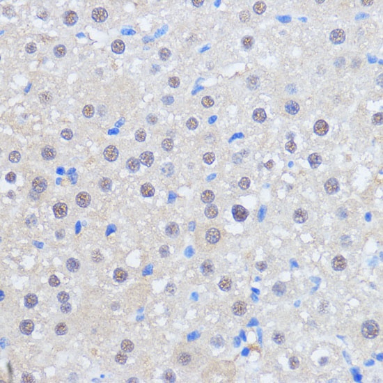
Immunohistochemistry analysis of paraffin-embedded Rat liver using RBM39 Rabbit pAb (CAB15760) at dilution of 1:100 (40x lens). Microwave antigen retrieval performed with 0.01M PBS Buffer (pH 7.2) prior to IHC staining.
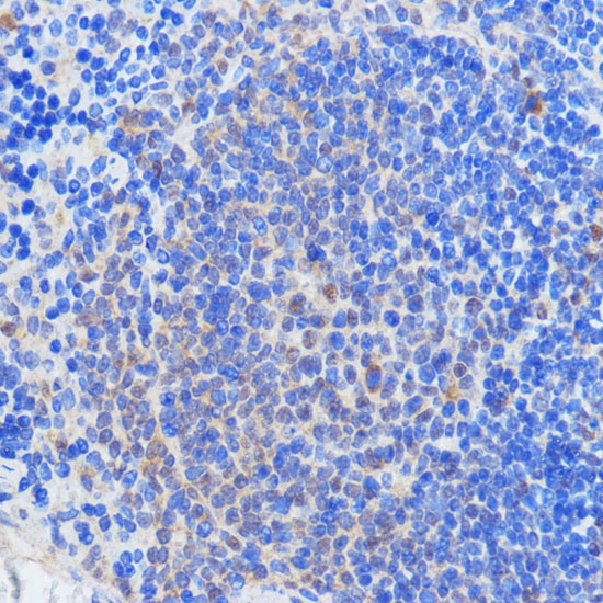
Immunohistochemistry analysis of paraffin-embedded Mouse spleen using RBM39 Rabbit pAb (CAB15760) at dilution of 1:100 (40x lens). Microwave antigen retrieval performed with 0.01M PBS Buffer (pH 7.2) prior to IHC staining.
Immunofluorescence analysis of U-2 OS cells using RBM39 Rabbit pAb (CAB15760) at dilution of 1:100. Secondary antibody: Cy3-conjugated Goat anti-Rabbit IgG (H+L) (CABS007) at 1:500 dilution. Blue: DAPI for nuclear staining.