The RELB Antibody (CAB0519) is a high-quality antibody developed for reliable detection and analysis of target proteins. This antibody, produced in rabbits, is highly reactive with human samples and has been validated for use in Western blot applications. By binding to the RELB protein, this antibody enables scientists to detect and analyze RELB expression in a variety of cell types, making it ideal for studies in immunology and cancer research.RELB is a key regulator of immune and inflammatory pathways, making it an important target for studying diseases characterized by dysregulated immune responses, such as cancer and autoimmune disorders.
This antibody is validated for use in WB, IHC-P, ELISA applications and has demonstrated reactivity against Human, Mouse, Rat samples.
Product Name:
RELB Antibody
SKU:
CAB0519
Size:
20μL, 100μL
Reactivity:
Human, Mouse, Rat
Conjugate:
Unconjugated
Immunogen:
Recombinant protein (or fragment).This information is considered to be commercially sensitive.
Enables RNA polymerase II cis-regulatory region sequence-specific DNA binding activity and protein kinase binding activity. Involved in lymphocyte differentiation and negative regulation of interferon-beta production. Located in cytosol and nucleoplasm. Part of chromatin; nucleus; and transcription repressor complex. Colocalizes with centrosome. Implicated in breast cancer and immunodeficiency 53. Biomarker of breast cancer and transitional cell carcinoma.
Purification Method
Affinity purification
Gene ID
5971
RRID
AB_2757238
Buffer Information
Store at -20℃. Avoid freeze / thaw cycles. Buffer: PBS containing 50% glycerol, preserved with proclin300 or sodium azide, pH 7.3.
Western blot analysis of various lysates using RELB Rabbit pAb (CAB0519) at 1:1000 dilution. Secondary antibody: HRP-conjugated Goat anti-Rabbit IgG (H+L) (CABS014) at 1:10000 dilution. Lysates/proteins: 25μg per lane. Blocking buffer: 3% nonfat dry milk in TBST. Detection: ECL Basic Kit (AbGn00020). Exposure time: 30s.
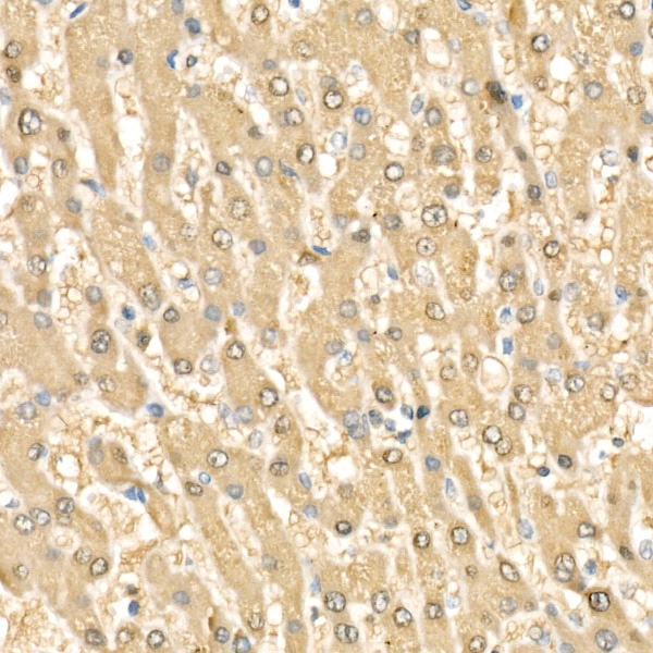
Immunohistochemistry analysis of paraffin-embedded Human liver cancer using RELB Rabbit pAb (CAB0519) at dilution of 1:100 (40x lens). High pressure antigen retrieval performed with 0.01M Citrate buffer (pH 6.0) prior to IHC staining.
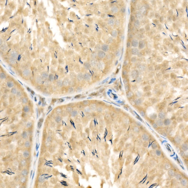
Immunohistochemistry analysis of paraffin-embedded Rat testis using RELB Rabbit pAb (CAB0519) at dilution of 1:100 (40x lens). High pressure antigen retrieval performed with 0.01M Citrate buffer (pH 6.0) prior to IHC staining.