The RFC5 Polyclonal Antibody (CAB8056) is a valuable tool for researchers studying RFC5, a protein involved in DNA replication and repair processes. This antibody, produced in rabbits, exhibits high reactivity with human samples and has been validated for use in Western blot applications. By targeting the RFC5 protein, this antibody enables the detection and analysis of RFC5 expression in a variety of cell types, making it ideal for research in molecular biology and cancer biology.RFC5, also known as Replication Factor C Subunit 5, is essential for the formation of the RFC complex, which plays a crucial role in DNA replication and DNA damage response pathways.
Dysregulation of RFC5 has been linked to genomic instability and cancer progression, making it a promising target for anticancer drug development. Understanding the function of RFC5 can provide insights into the mechanisms of carcinogenesis and potential therapeutic strategies targeting this protein.Overall, the RFC5 Polyclonal Antibody is a reliable tool for investigating the role of RFC5 in cellular processes and disease development, offering researchers valuable insights into the molecular mechanisms underlying DNA replication and cancer biology.
Product Name:
RFC5 Rabbit Polyclonal Antibody
SKU:
CAB8056
Size:
20uL, 100uL
Isotype:
IgG
Host Species:
Rabbit
Reactivity:
Human,Mouse,Rat
Immunogen:
Recombinant fusion protein containing a sequence corresponding to amino acids 181-340 of human RFC5 (NP_031396.1).
This gene encodes the smallest subunit of the replication factor C complex, which consists of five distinct subunits (140, 40, 38, 37, and 36 kDa) and is required for DNA replication. This subunit interacts with the C-terminal region of proliferating cell nuclear antigen and is required to open and load proliferating cell nuclear antigen onto DNA during S phase. It is a member of the AAA+ (ATPases associated with various cellular activities) ATPase family and forms a core complex with the 38 and 40 kDa subunits that possesses DNA-dependent ATPase activity. A related pseudogene has been identified on chromosome 9. Alternative splicing results in multiple transcript variants.
Purification Method:
Affinity purification
Gene ID:
5985
Storage Buffer:
Store at -20℃. Avoid freeze / thaw cycles.Buffer: PBS with 0.02% sodium azide,50% glycerol,pH7.3.
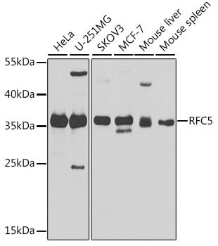
Western blot analysis of extracts of various cell lines, using RFC5 antibody (CAB8056) at 1:1000 dilution.Secondary antibody: HRP Goat Anti-Rabbit IgG (H+L) (CABS014) at 1:10000 dilution.Lysates/proteins: 25μg per lane.Blocking buffer: 3% nonfat dry milk in TBST.Detection: ECL Basic Kit (AbGn00020).Exposure time: 30s.