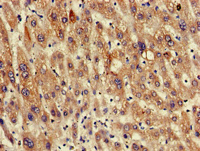
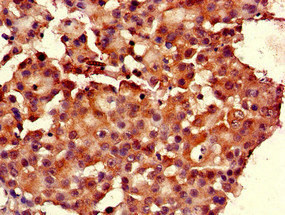
RGS19 Antibody is a premium polyclonal that offers outstanding performance and reliability for demanding research applications. Rigorously validated for ELISA, IHC, IF, this antibody ensures consistent, reproducible results across multiple experimental platforms. Demonstrates excellent reactivity with Human samples, providing researchers with confidence in cross-species compatibility. Conveniently packaged in 50ug format to meet your experimental needs. For optimal performance, store at -20°C or -80°C and maintains stability for 12 months. Backed by rigorous quality control testing to ensure superior performance in your critical research applications.
Product Name:
RGS19 Antibody
SKU:
PACO49946
Size:
50μg
Isotype:
IgG
Host Species:
Rabbit
Reactivity:
Human
Immunogen:
Recombinant Human Regulator of G-protein signaling 19 protein (1-87AA)
Immunogen Species:
Homo sapiens (Human)
Uniprot No:
P49795
Form:
Liquid
Tested Applications:
ELISAIHCIF
Recommended Dilution:
Application
Recommended Dilution
IHC
1:20-1:200
IF
1:50-1:200
Synonyms:
G alpha interacting protein antibody, G protein signalling regulator 19 antibody, G protein, alpha-interacting protein antibody, G-alpha-interacting protein antibody, GAIP antibody, GNAI3IP antibody, Guanine nucleotide binding protein alpha inhibiting activity polypeptide 3 interacting protein antibody, Regulator of G protein signalling 19 antibody, Regulator of G-protein signaling 19 antibody, RGS19 antibody, RGS19_HUMAN antibody, RGSGAIP antibody