The RMDN3 Antibody (CAB5820) is a high-quality antibody developed for reliable detection and analysis of target proteins. This antibody, produced in rabbits, is highly specific to human samples and has been validated for use in Western blot applications. By binding to the RMDN3 protein, this antibody allows for accurate detection and analysis in a variety of cell types, making it an essential component for research in oncology and cell biology.RMDN3, also known as KIAA1491, has been implicated in various cellular processes, including cell proliferation and apoptosis. Its dysregulation has been linked to tumorigenesis and metastasis in multiple types of cancer, highlighting its potential as a therapeutic target.
This antibody is validated for use in WB, IHC-P, IF/ICC, ELISA applications and has demonstrated reactivity against Human, Mouse, Rat samples.
Product Name:
RMDN3 Antibody
SKU:
CAB5820
Size:
20μL, 100μL
Reactivity:
Human, Mouse, Rat
Conjugate:
Unconjugated
Immunogen:
Recombinant protein (or fragment).This information is considered to be commercially sensitive.
Enables microtubule binding activity. Involved in cellular calcium ion homeostasis. Located in several cellular components, including intercellular bridge; mitochondrial outer membrane; and spindle.
Purification Method
Affinity purification
Gene ID
55177
RRID
AB_2766572
Buffer Information
Store at -20℃. Avoid freeze / thaw cycles. Buffer: PBS containing 50% glycerol, preserved with proclin300 or sodium azide, pH 7.3.
Western blot analysis of various lysates using PTPIP51/RMDN3 Rabbit pAb (CAB5820) at 1:1000 dilution. Secondary antibody: HRP-conjugated Goat anti-Rabbit IgG (H+L) (CABS014) at 1:10000 dilution. Lysates/proteins: 25μg per lane. Blocking buffer: 3% nonfat dry milk in TBST. Detection: ECL Basic Kit (AbGn00020). Exposure time: 90s.
Immunohistochemistry analysis of paraffin-embedded Human liver cancer using PTPIP51/RMDN3 Rabbit pAb (CAB5820) at dilution of 1:100 (40x lens). High pressure antigen retrieval performed with 0.01M Citrate buffer (pH 6.0) prior to IHC staining.
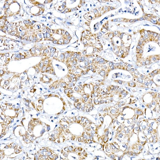
Immunohistochemistry analysis of paraffin-embedded Rat kidney using PTPIP51/RMDN3 Rabbit pAb (CAB5820) at dilution of 1:100 (40x lens). High pressure antigen retrieval performed with 0.01M Citrate buffer (pH 6.0) prior to IHC staining.
Immunofluorescence analysis of NIH/3T3 cells using PTPIP51/RMDN3 Rabbit pAb (CAB5820) at dilution of 1:200 (40x lens). Secondary antibody: Cy3-conjugated Goat anti-Rabbit IgG (H+L) (CABS007) at 1:500 dilution. Blue: DAPI for nuclear staining.
Immunofluorescence analysis of U2OS cells using PTPIP51/RMDN3 Rabbit pAb (CAB5820) at dilution of 1:200 (40x lens). Secondary antibody: Cy3-conjugated Goat anti-Rabbit IgG (H+L) (CABS007) at 1:500 dilution. Blue: DAPI for nuclear staining.