The RNASE13 Antibody (CAB1073) is a high-quality antibody developed for reliable detection and analysis of target proteins. This antibody is produced in rabbits and exhibits high reactivity with human samples, making it suitable for use in Western blot applications. By specifically binding to the RNASE13 protein, this antibody enables accurate detection and analysis in a variety of cell types, making it ideal for research in the fields of molecular biology and biochemistry.RNASE13, also known as Ribonuclease T2, is involved in the breakdown of RNA molecules, playing a crucial role in cellular processes such as RNA turnover and degradation. Its importance in nucleic acid metabolism makes it a key target for studies on gene regulation, RNA processing, and RNA interference mechanisms.
This antibody is validated for use in WB, IHC-P, ELISA applications and has demonstrated reactivity against Human, Mouse samples.
Product Name:
RNASE13 Antibody
SKU:
CAB1073
Size:
20μL, 100μL
Reactivity:
Human, Mouse
Conjugate:
Unconjugated
Immunogen:
Recombinant protein (or fragment).This information is considered to be commercially sensitive.
Recommended starting concentration is 1 μg/mL. Please optimize the concentration based on your specific assay requirements.
Synonyms:
RAL1, HEL-S-86p, RNASE13
Positive Sample:
Raji
Cellular Localization:
Secreted.
Calculated MW:
18kDa
Observed MW:
18kDa
Predicted to enable nucleic acid binding activity. Predicted to be located in extracellular region.
Purification Method
Affinity purification
Gene ID
440163
RRID
AB_2758182
Buffer Information
Store at -20℃. Avoid freeze / thaw cycles. Buffer: PBS containing 50% glycerol, preserved with proclin300 or sodium azide, pH 7.3.
Western blot analysis of lysates from Raji cells, using RNASE13 Rabbit pAb (CAB1073) at 1:1000 dilution. Secondary antibody: HRP-conjugated Goat anti-Rabbit IgG (H+L) (CABS014) at 1:10000 dilution. Lysates/proteins: 25μg per lane. Blocking buffer: 3% nonfat dry milk in TBST.
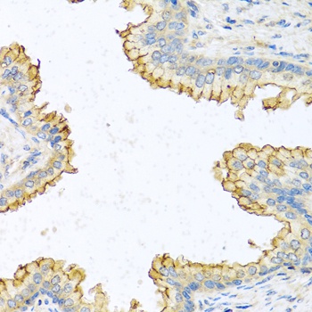
Immunohistochemistry analysis of paraffin-embedded Human prostate using RNASE13 Rabbit pAb (CAB1073) at dilution of 1:100 (40x lens). Microwave antigen retrieval performed with 0.01M PBS Buffer (pH 7.2) prior to IHC staining.
Immunohistochemistry analysis of paraffin-embedded Mouse lung using RNASE13 Rabbit pAb (CAB1073) at dilution of 1:100 (40x lens). Microwave antigen retrieval performed with 0.01M PBS Buffer (pH 7.2) prior to IHC staining.