The RPL18A Antibody (CAB16967) is a high-quality antibody developed for reliable detection and analysis of target proteins. This antibody, generated in rabbits, exhibits high specificity and sensitivity towards human samples, making it suitable for various research applications such as Western blotting.RPL18A is a crucial component of the ribosome, the cellular machinery responsible for translating genetic information into proteins. Dysregulation of RPL18A has been linked to various diseases, including cancer and neurodegenerative disorders, highlighting its potential as a therapeutic target.
This antibody is validated for use in WB, ELISA applications and has demonstrated reactivity against Human, Mouse, Rat samples.
Product Name:
RPL18A Antibody
SKU:
CAB16967
Size:
20μL, 100μL
Reactivity:
Human, Mouse, Rat
Immunogen:
Recombinant protein (or fragment).This information is considered to be commercially sensitive.
Recommended starting concentration is 1 μg/mL. Please optimize the concentration based on your specific assay requirements.
Synonyms:
L18A, eL20, RPL18A
Positive Sample:
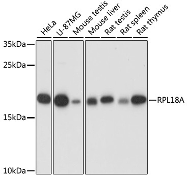
HeLa, U-87MG, Mouse testis, Mouse liver, Rat testis, Rat spleen, Rat thymus
Cellular Localization:
Cytoplasm, Cytosol, Cytosolic Ribosome.
Calculated MW:
21kDa
Observed MW:
21kDa
Ribosomes, the organelles that catalyze protein synthesis, consist of a small 40S subunit and a large 60S subunit. Together these subunits are composed of 4 RNA species and approximately 80 structurally distinct proteins. This gene encodes a member of the L18AE family of ribosomal proteins that is a component of the 60S subunit. The encoded protein may play a role in viral replication by interacting with the hepatitis C virus internal ribosome entry site (IRES). This gene is co-transcribed with the U68 snoRNA, located within the third intron. As is typical for genes encoding ribosomal proteins, there are multiple processed pseudogenes of this gene dispersed throughout the genome.
Purification Method
Affinity purification
Gene ID
6142
RRID
AB_2772073
Buffer Information
Store at -20℃. Avoid freeze / thaw cycles. Buffer: PBS with 0.01% thimerosal,50% glycerol,pH7.3.
Western blot analysis of various lysates using RPL18A Rabbit pAb (CAB16967) at 1:1000 dilution. Secondary antibody: HRP-conjugated Goat anti-Rabbit IgG (H+L) (CABS014) at 1:10000 dilution. Lysates/proteins: 25μg per lane. Blocking buffer: 3% nonfat dry milk in TBST. Detection: ECL Basic Kit (AbGn00020). Exposure time: 1s.