null
100% Quality Guarantee
PhD-Level Technical Support
Key Features

RPL8 Rabbit Polyclonal Antibody (CAB10042)

SKU CAB10042
Product Type Antibody
Antibody Type Polyclonal Antibody
Reactivity Human, Mouse, Rat
Host Species Rabbit
Synonyms L8, uL2, RPL8
Research Use Cell Biology
€96 - €370
Global Shipping: 80+ Countries
White Glove Service: Available upon request
Batch Consistency: Contact Sales
Distributors: 60+ Countries

Description

system_update_altDatasheetsystem_update_altMSDS

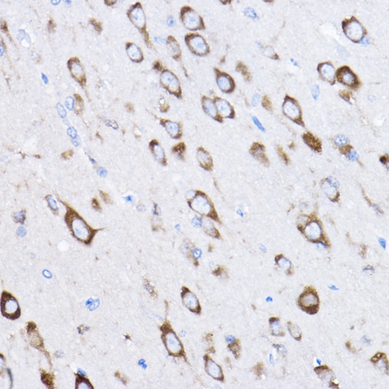
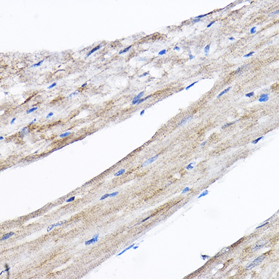
RPL8 Antibody (CAB10042)

The RPL8 Antibody (CAB10042) is a high-quality antibody developed for reliable detection and analysis of target proteins. This antibody, produced in rabbits, exhibits high reactivity with human samples and has been validated for use in Western blot applications. By binding to the RPL8 protein, this antibody allows for the detection and analysis of RPL8 in a variety of cell types, making it an excellent tool for studies in molecular biology and cancer research.RPL8 is a key component of the ribosome, the cellular machinery responsible for protein production. Understanding the function and regulation of RPL8 is essential for unraveling the complex mechanisms of protein synthesis and its role in various cellular processes.

This antibody is validated for use in WB, IHC-P, IF/ICC, ELISA applications and has demonstrated reactivity against Human, Mouse, Rat samples.

0 Reviews

0
Based on 0 reviews

No reviews yet. Be the first to share your experience!

View AllClose