The RPP25 Antibody (CAB9973) is a high-quality antibody developed for reliable detection and analysis of target proteins. This antibody, produced in rabbits, is specifically designed for use in Western blot applications and is highly reactive with human samples.RPP25 is essential for the cleavage of precursor tRNAs, making it an important player in the regulation of gene expression. Dysregulation of RPP25 has been implicated in various diseases, including cancer and neurodegenerative disorders.
This antibody is validated for use in WB, IHC-P, ELISA applications and has demonstrated reactivity against Human, Mouse samples.
Product Name:
RPP25 Antibody
SKU:
CAB9973
Size:
20μL, 100μL
Reactivity:
Human, Mouse
Conjugate:
Unconjugated
Immunogen:
Recombinant protein (or fragment).This information is considered to be commercially sensitive.
Recommended starting concentration is 1 μg/mL. Please optimize the concentration based on your specific assay requirements.
Synonyms:
RPP25
Positive Sample:
A375, HeLa, HT-29
Cellular Localization:
Nucleus.
Calculated MW:
21kDa
Observed MW:
20kDa
Enables ribonuclease P RNA binding activity. Contributes to ribonuclease P activity. Involved in tRNA 5'-leader removal. Located in centriolar satellite and nucleoplasm. Part of multimeric ribonuclease P complex and ribonuclease MRP complex. Biomarker of autistic disorder.
Purification Method
Affinity purification
Gene ID
54913
RRID
AB_2772088
Buffer Information
Store at -20℃. Avoid freeze / thaw cycles. Buffer: PBS containing 50% glycerol, preserved with proclin300 or sodium azide, pH 7.3.
Western blot analysis of various lysates using RPP25 Rabbit pAb (CAB9973) at 1:1000 dilution. Secondary antibody: HRP-conjugated Goat anti-Rabbit IgG (H+L) (CABS014) at 1:10000 dilution. Lysates/proteins: 25μg per lane. Blocking buffer: 3% nonfat dry milk in TBST. Detection: ECL Enhanced Kit (AbGn00021). Exposure time: 90s.
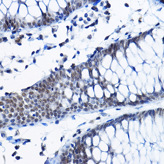
Immunohistochemistry analysis of paraffin-embedded Human colon using RPP25 Rabbit pAb (CAB9973) at dilution of 1:100 (40x lens). High pressure antigen retrieval performed with 0.01M Citrate buffer (pH 6.0) prior to IHC staining.