The RPP40 Antibody (CAB17086) is a high-quality antibody developed for reliable detection and analysis of target proteins. This antibody, generated in rabbits, exhibits high specificity and sensitivity towards human samples, making it ideal for use in Western blotting and immunohistochemistry applications.RPP40 is essential for the proper functioning of the spliceosome, a complex molecular machine responsible for removing introns from pre-mRNA molecules. Dysregulation of RPP40 has been implicated in various diseases, including cancer and neurodegenerative disorders, highlighting its importance in cellular homeostasis.
This antibody is validated for use in WB, ELISA applications and has demonstrated reactivity against Human, Mouse, Rat samples.
Product Name:
RPP40 Antibody
SKU:
CAB17086
Size:
20μL, 100μL
Reactivity:
Human, Mouse, Rat
Immunogen:
Recombinant protein (or fragment).This information is considered to be commercially sensitive.
Recommended starting concentration is 1 μg/mL. Please optimize the concentration based on your specific assay requirements.
Synonyms:
RNASEP1, bA428J1.3, RPP40
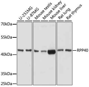
Positive Sample:
U-251MG, U-87MG, Mouse testis, Mouse kidney, Mouse liver, Rat lung, Rat thymus
Cellular Localization:
Nucleolar Ribonuclease P Complex, Nucleoplasm, Nucleus.
Calculated MW:
42kDa
Observed MW:
42kDa
Enables ribonuclease P RNA binding activity. Contributes to ribonuclease P activity. Involved in tRNA 5'-leader removal. Part of multimeric ribonuclease P complex.
Purification Method
Affinity purification
Gene ID
10799
RRID
AB_2772092
Buffer Information
Store at -20℃. Avoid freeze / thaw cycles. Buffer: PBS with 0.01% thimerosal,50% glycerol,pH7.3.
Western blot analysis of various lysates using RPP40 Rabbit pAb (CAB17086) at 1:1000 dilution. Secondary antibody: HRP-conjugated Goat anti-Rabbit IgG (H+L) (CABS014) at 1:10000 dilution. Lysates/proteins: 25μg per lane. Blocking buffer: 3% nonfat dry milk in TBST. Detection: ECL Basic Kit (AbGn00020). Exposure time: 10s.