The RPS19 Monoclonal Antibody (CAB3675) is a high-quality antibody developed for reliable detection and analysis of target proteins. This antibody, developed using innovative monoclonal antibody technology in rabbits, is highly specific and sensitive for detecting RPS19 in human samples.RPS19 is essential for the proper assembly of ribosomes, the cellular machinery responsible for protein synthesis. Mutations in RPS19 have been linked to Diamond-Blackfan anemia, a rare genetic disorder characterized by a lack of red blood cell production. By targeting RPS19, researchers can gain insights into the molecular mechanisms underlying ribosome dysfunction and potential therapeutic strategies for related disorders.
This antibody is validated for use in WB, IF/ICC, IP, ELISA, IF-P applications and has demonstrated reactivity against Human, Mouse, Rat samples.
Product Name:
RPS19 Monoclonal Antibody
SKU:
CAB3675
Size:
20μL, 100μL
Reactivity:
Human, Mouse, Rat
Clone Number:
ARC0820
Conjugate:
Unconjugated
Immunogen:
Synthetic peptide. This information is considered to be commercially sensitive.
0.5μg-4μg antibody for 200μg-400μg extracts of whole cells
IF/ICC
1:50 - 1:200
IF-P
1:50 - 1:200
ELISA
Recommended starting concentration is 1 μg/mL. Please optimize the concentration based on your specific assay requirements.
Synonyms:
DBA, S19, DBA1, eS19, LOH19CR1, RPS19
Positive Sample:
HT-29, 293T, K-562, Mouse liver, Mouse brain, Mouse kidney, Rat liver, Rat spleen, Rat kidney, 293F
Cellular Localization:
Nucleus, Cytoplasm.
Calculated MW:
16kDa
Observed MW:
16kDa
Ribosomes, the organelles that catalyze protein synthesis, consist of a small 40S subunit and a large 60S subunit. Together these subunits are composed of 4 RNA species and approximately 80 structurally distinct proteins. This gene encodes a ribosomal protein that is a component of the 40S subunit. The protein belongs to the S19E family of ribosomal proteins. It is located in the cytoplasm. Mutations in this gene cause Diamond-Blackfan anemia (DBA), a constitutional erythroblastopenia characterized by absent or decreased erythroid precursors, in a subset of patients. This suggests a possible extra-ribosomal function for this gene in erythropoietic differentiation and proliferation, in addition to its ribosomal function. Higher expression levels of this gene in some primary colon carcinomas compared to matched normal colon tissues has been observed. As is typical for genes encoding ribosomal proteins, there are multiple processed pseudogenes of this gene dispersed through the genome.
Purification Method
Affinity purification
Gene ID
6223
RRID
AB_2863112
Buffer Information
Store at -20℃. Avoid freeze / thaw cycles. Buffer: PBS containing 50% glycerol and 0.05% BSA, preserved with proclin300 or sodium azide, pH 7.3.
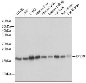
Western blot analysis of various lysates using RPS19 Rabbit mAb (CAB3675) at 1:1000 dilution. Secondary antibody: HRP-conjugated Goat anti-Rabbit IgG (H+L) (CABS014) at 1:10000 dilution. Lysates/proteins: 25μg per lane. Blocking buffer: 3% nonfat dry milk in TBST. Detection: ECL Basic Kit (AbGn00020). Exposure time: 1s.
Confocal imaging of paraffin-embedded Human testis tissue using RPS19 Rabbit mAb (CAB3675, dilution 1:200) followed by a further incubation with Cy3 Goat Anti-Rabbit IgG (H+L) (CABS007,dilution 1:500)(Red). DAPI was used for nuclear staining (Blue). Objective: 40x. Perform high pressure antigen retrieval with 0.01 M citRate buffer (pH 6.0) prior to IF staining.
Immunoprecipitation of RPS19 in 300 µg extracts from 293F cells using 3 µg RPS19 Rabbit mAb (CAB3675). Western blot analysis was performed using RPS19 Rabbit mAb (CAB3675) at 1:1000 dilution.