The RPS8 Antibody (CAB18377) is a high-quality antibody developed for reliable detection and analysis of target proteins. This antibody, generated in rabbits, exhibits high reactivity with human samples and is validated for use in Western blot applications. By binding specifically to the RPS8 protein, this antibody enables accurate detection and analysis in a variety of cell types, making it an essential resource for studies in molecular biology and cancer research.
This antibody is validated for use in WB, IF/ICC, ELISA applications and has demonstrated reactivity against Human, Mouse, Rat samples.
Product Name:
RPS8 Antibody
SKU:
CAB18377
Size:
20μL, 100μL
Reactivity:
Human, Mouse, Rat
Immunogen:
Recombinant protein (or fragment).This information is considered to be commercially sensitive.
Ribosomes, the organelles that catalyze protein synthesis, consist of a small 40S subunit and a large 60S subunit. Together these subunits are composed of 4 RNA species and approximately 80 structurally distinct proteins. This gene encodes a ribosomal protein that is a component of the 40S subunit. The protein belongs to the S8E family of ribosomal proteins. It is located in the cytoplasm. Increased expression of this gene in colorectal tumors and colon polyps compared to matched normal colonic mucosa has been observed. This gene is co-transcribed with the small nucleolar RNA genes U38A, U38B, U39, and U40, which are located in its fourth, fifth, first, and second introns, respectively. As is typical for genes encoding ribosomal proteins, there are multiple processed pseudogenes of this gene dispersed through the genome.
Purification Method
Affinity purification
Gene ID
6202
RRID
AB_2862144
Buffer Information
Store at -20℃. Avoid freeze / thaw cycles. Buffer: PBS with 0.01% thimerosal,50% glycerol,pH7.3.
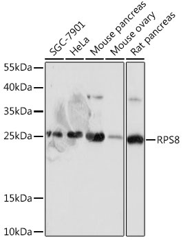
Western blot analysis of various lysates using RPS8 Rabbit pAb (CAB18377) at 1:1000 dilution. Secondary antibody: HRP-conjugated Goat anti-Rabbit IgG (H+L) (CABS014) at 1:10000 dilution. Lysates/proteins: 25μg per lane. Blocking buffer: 3% nonfat dry milk in TBST. Detection: ECL Basic Kit (AbGn00020). Exposure time: 90s.
Immunofluorescence analysis of L929 cells using RPS8 Rabbit pAb (CAB18377) at dilution of 1:100. Blue: DAPI for nuclear staining.