The RRP1 Antibody (CAB17569) is a high-quality antibody developed for reliable detection and analysis of target proteins. This antibody, generated in rabbits, exhibits high reactivity with human samples and has been validated for use in Western blot applications. By specifically binding to the RRP1 protein, this antibody enables precise detection and analysis in a variety of cell types, making it an essential component for investigations in molecular biology and cellular research.RRP1 is a crucial player in the intricate process of ribosomal RNA maturation, essential for the production of functional ribosomes. Dysregulation of RRP1 has been linked to abnormalities in ribosomal RNA processing, leading to disruptions in protein synthesis and cellular function.
This antibody is validated for use in WB, ELISA applications and has demonstrated reactivity against Human, Mouse, Rat samples.
Product Name:
RRP1 Antibody
SKU:
CAB17569
Size:
20μL, 100μL
Reactivity:
Human, Mouse, Rat
Conjugate:
Unconjugated
Immunogen:
Recombinant protein (or fragment).This information is considered to be commercially sensitive.
Recommended starting concentration is 1 μg/mL. Please optimize the concentration based on your specific assay requirements.
Synonyms:
NNP-1, NOP52, RRP1A, D21S2056E, RRP1
Positive Sample:
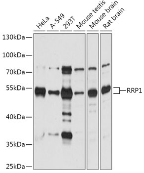
HeLa, A-549, 293T, Mouse testis, Mouse brain, Rat brain
Cellular Localization:
Nucleolus, Nucleus.
Calculated MW:
53kDa
Observed MW:
53kDa
The protein encoded by this gene is the putative homolog of the yeast ribosomal RNA processing protein RRP1. The encoded protein is involved in the late stages of nucleologenesis at the end of mitosis, and may be required for the generation of 28S rRNA.
Purification Method
Affinity purification
Gene ID
8568
RRID
AB_2772117
Buffer Information
Store at -20℃. Avoid freeze / thaw cycles. Buffer: PBS with 0.01% thimerosal,50% glycerol,pH7.3.
Western blot analysis of various lysates using RRP1 Rabbit pAb (CAB17569) at 1:1000 dilution. Secondary antibody: HRP-conjugated Goat anti-Rabbit IgG (H+L) (CABS014) at 1:10000 dilution. Lysates/proteins: 25μg per lane. Blocking buffer: 3% nonfat dry milk in TBST. Detection: ECL Basic Kit (AbGn00020). Exposure time: 60s.