The SCCPDH Antibody (CAB2148) is a high-quality antibody developed for reliable detection and analysis of target proteins. This antibody, produced in rabbits, exhibits high reactivity specifically with human samples and has been validated for use in Western blot applications. By binding to the SCCPDH protein, this antibody allows for accurate detection and analysis in various cell types, making it a versatile option for studies in metabolic disorders, cancer research, and related fields.SCCPDH, also known as Saccharopine dehydrogenase, is an essential enzyme in the lysine degradation pathway and plays a key role in metabolic processes related to energy production and amino acid metabolism.
This antibody is validated for use in WB, ELISA applications and has demonstrated reactivity against Human, Mouse samples.
Product Name:
SCCPDH Antibody
SKU:
CAB2148
Size:
20μL, 100μL
Reactivity:
Human, Mouse
Conjugate:
Unconjugated
Immunogen:
Recombinant protein (or fragment).This information is considered to be commercially sensitive.
Predicted to enable oxidoreductase activity. Predicted to be involved in glycolipid biosynthetic process. Located in lipid droplet and midbody.
Purification Method
Affinity purification
Gene ID
51097
RRID
AB_2764167
Buffer Information
Store at -20℃. Avoid freeze / thaw cycles. Buffer: PBS containing 50% glycerol, preserved with proclin300 or sodium azide, pH 7.3.
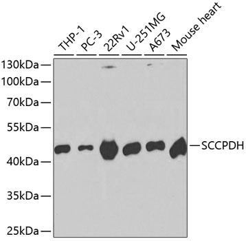
Western blot analysis of various lysates using SCCPDH Rabbit pAb (CAB2148) at 1:1000 dilution. Secondary antibody: HRP-conjugated Goat anti-Rabbit IgG (H+L) (CABS014) at 1:10000 dilution. Lysates/proteins: 25μg per lane. Blocking buffer: 3% nonfat dry milk in TBST.