null
100% Quality Guarantee
PhD-Level Technical Support
Key Features

SCFD1 Rabbit Polyclonal Antibody (CAB8835)

SKU CAB8835
Product Type Antibody
Antibody Type Polyclonal Antibody
Reactivity Human, Mouse, Rat
Host Species Rabbit
Synonyms SLY1, RA410, SLY1P, STXBP1L2, C14orf163, SCFD1
Research Use Cell Biology
$127 - $488
Global Shipping: 80+ Countries
White Glove Service: Available upon request
Batch Consistency: Contact Sales
Distributors: 60+ Countries

Description

system_update_altDatasheetsystem_update_altMSDS

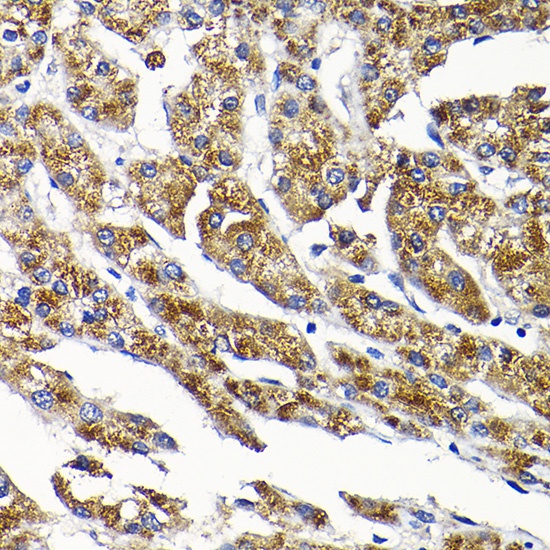
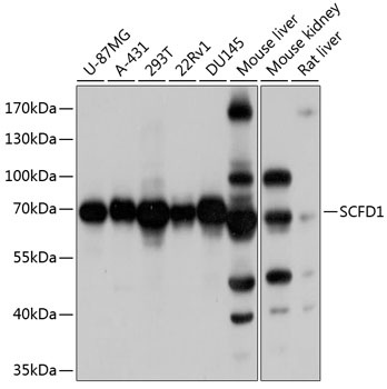
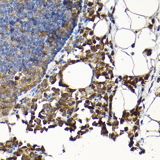
SCFD1 Antibody (CAB8835)

The SCFD1 Antibody (CAB8835) is a high-quality antibody developed for reliable detection and analysis of target proteins. This antibody, produced in rabbits, demonstrates high reactivity with human samples and is specifically validated for use in Western blot applications.SCFD1, a key player in cellular processes, is known for its role in mediating protein degradation and regulating protein turnover. Its involvement in these pathways makes it a relevant target for research in the fields of cell biology and signal transduction. By utilizing the SCFD1 Polyclonal Antibody, researchers can effectively detect and analyze SCFD1 protein levels in various cell types, providing valuable insights into its function and potential therapeutic applications.

This antibody is validated for use in WB, IHC-P, ELISA applications and has demonstrated reactivity against Human, Mouse, Rat samples.

0 Reviews

0
Based on 0 reviews

No reviews yet. Be the first to share your experience!

View AllClose