The SCG3 Antibody (CAB7799) is a high-quality antibody developed for reliable detection and analysis of target proteins. This antibody, produced in rabbits, is highly specific to human samples and has been validated for use in immunohistochemistry and Western blot applications. By binding to the Secretogranin-3 protein, researchers can visualize and analyze its expression in various tissues and cell types, making it ideal for studies in neurobiology and endocrinology.Secretogranin-3 is known to play a role in the regulated secretion of hormones and neuropeptides, making it a key player in processes such as stress response, pain modulation, and metabolism regulation.
This antibody is validated for use in WB, ELISA applications and has demonstrated reactivity against Human, Mouse, Rat samples.
Product Name:
SCG3 Antibody
SKU:
CAB7799
Size:
20μL, 100μL
Reactivity:
Human, Mouse, Rat
Conjugate:
Unconjugated
Immunogen:
Recombinant protein (or fragment).This information is considered to be commercially sensitive.
The protein encoded by this gene is a member of the chromogranin/secretogranin family of neuroendocrine secretory proteins. Granins may serve as precursors for biologically active peptides. Some granins have been shown to function as helper proteins in sorting and proteolytic processing of prohormones; however, the function of this protein is unknown. Two transcript variants encoding different isoforms have been found for this gene.
Purification Method
Affinity purification
Gene ID
29106
RRID
AB_2772152
Buffer Information
Store at -20℃. Avoid freeze / thaw cycles. Buffer: PBS containing 50% glycerol, preserved with proclin300 or sodium azide, pH 7.3.
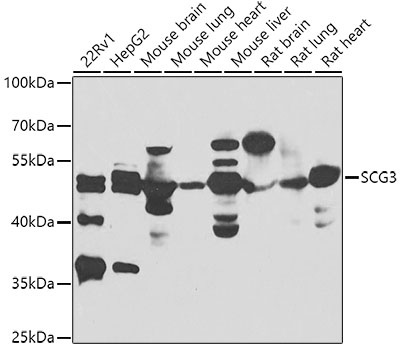
Western blot analysis of various lysates using SCG3 Rabbit pAb (CAB7799) at 1:1000 dilution. Secondary antibody: HRP-conjugated Goat anti-Rabbit IgG (H+L) (CABS014) at 1:10000 dilution. Lysates/proteins: 25μg per lane. Blocking buffer: 3% nonfat dry milk in TBST.