The SEMA4F Antibody (CAB10432) is a high-quality antibody developed for reliable detection and analysis of target proteins. This antibody, produced in rabbits, is highly specific to human samples and has been validated for use in Western blot applications. By binding to Semaphorin 4F, it allows for its detection and analysis in various cell types, making it an ideal tool for research in immunology and cancer.
This antibody is validated for use in WB, IHC-P, ELISA applications and has demonstrated reactivity against Human, Mouse, Rat samples.
Product Name:
SEMA4F Antibody
SKU:
CAB10432
Size:
20μL, 100μL
Reactivity:
Human, Mouse, Rat
Conjugate:
Unconjugated
Immunogen:
Recombinant protein (or fragment).This information is considered to be commercially sensitive.
SH-SY5Y, HepG2, A-549, Mouse brain, Mouse liver, Mouse lung, Rat brain, Rat liver
Cellular Localization:
Membrane, Single-Pass Type I Membrane Protein.
Calculated MW:
84kDa
Observed MW:
83kDa
This gene encodes a transmembrane class IV semaphorin family protein, which plays a role in neural development. This gene may be involved in neurogenesis in prostate cancer, the development of neurofibromas, and breast cancer tumorigenesis. Alternative splicing results in multiple transcript variants.
Purification Method
Affinity purification
Gene ID
10505
RRID
AB_2757979
Buffer Information
Store at -20℃. Avoid freeze / thaw cycles. Buffer: PBS containing 50% glycerol, preserved with proclin300 or sodium azide, pH 7.3.
Western blot analysis of various lysates using SEMA4F Rabbit pAb (CAB10432) at 1:1000 dilution. Secondary antibody: HRP-conjugated Goat anti-Rabbit IgG (H+L) (CABS014) at 1:10000 dilution. Lysates/proteins: 25μg per lane. Blocking buffer: 3% nonfat dry milk in TBST. Detection: ECL Basic Kit (AbGn00020). Exposure time: 30s.
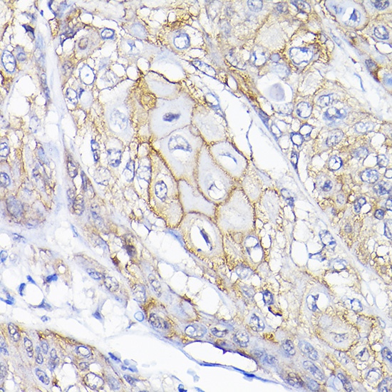
Immunohistochemistry analysis of paraffin-embedded Human esophageal cancer using SEMA4F Rabbit pAb (CAB10432) at dilution of 1:200 (40x lens). High pressure antigen retrieval performed with 0.01M Citrate buffer (pH 6.0) prior to IHC staining.