The SERINC1 Antibody (CAB18478) is a high-quality antibody developed for reliable detection and analysis of target proteins. Raised in rabbits, this antibody is highly specific to human samples and is validated for use in Western blot applications. By binding to the SERINC1 protein, this antibody allows for accurate detection and analysis in a variety of cell types, making it ideal for studies in virology, lipid biology, and immunology.SERINC1 is known for its role in inhibiting viral infections by altering the lipid composition of cell membranes. This makes it a key player in host defense mechanisms against various viruses.
This antibody is validated for use in WB, IHC-P, ELISA applications and has demonstrated reactivity against Human, Mouse, Rat samples.
Product Name:
SERINC1 Antibody
SKU:
CAB18478
Size:
20μL, 100μL
Reactivity:
Human, Mouse, Rat
Immunogen:
Synthetic peptide. This information is considered to be commercially sensitive.
Recommended starting concentration is 1 μg/mL. Please optimize the concentration based on your specific assay requirements.
Synonyms:
TDE2, TMS2, TDE1L, TMS-2, SERINC1
Positive Sample:
U-87MG, HepG2, HeLa
Cellular Localization:
Plasma Membrane.
Calculated MW:
50kDa
Observed MW:
50kDa
Predicted to enable protein-macromolecule adaptor activity. Predicted to be involved in several processes, including phosphatidylserine metabolic process; positive regulation of CDP-diacylglycerol-serine O-phosphatidyltransferase activity; and positive regulation of serine C-palmitoyltransferase activity. Predicted to be located in endoplasmic reticulum membrane and plasma membrane. Predicted to be active in membrane.
Purification Method
Affinity purification
Gene ID
57515
RRID
AB_2862245
Buffer Information
Store at -20℃. Avoid freeze / thaw cycles. Buffer: PBS with 0.01% thimerosal,50% glycerol,pH7.3.
Western blot analysis of various lysates using SERINC1 Rabbit pAb (CAB18478) at 1:1000 dilution. Secondary antibody: HRP-conjugated Goat anti-Rabbit IgG (H+L) (CABS014) at 1:10000 dilution. Lysates/proteins: 25μg per lane. Blocking buffer: 3% nonfat dry milk in TBST. Detection: ECL Basic Kit (AbGn00020). Exposure time: 10s.
Immunohistochemistry analysis of paraffin-embedded Rat spleen using SERINC1 Rabbit pAb (CAB18478) at dilution of 1:100 (40x lens). Microwave antigen retrieval performed with 0.01M PBS Buffer (pH 7.2) prior to IHC staining.
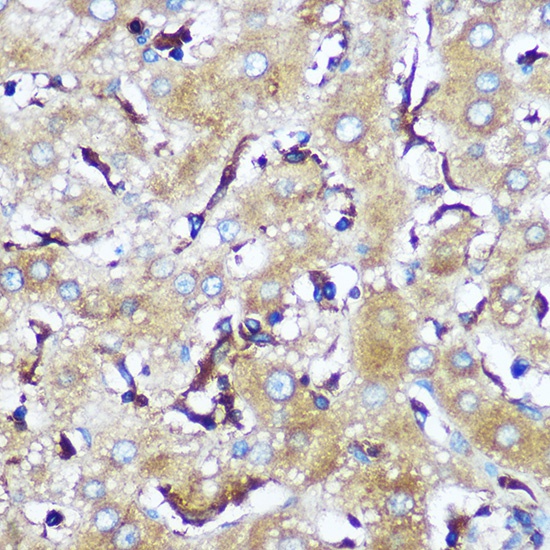
Immunohistochemistry analysis of paraffin-embedded Human liver using SERINC1 Rabbit pAb (CAB18478) at dilution of 1:100 (40x lens). Microwave antigen retrieval performed with 0.01M PBS Buffer (pH 7.2) prior to IHC staining.